Pytania i odpowiedzi

Histologia - szkiełka ultimate

Zebrane pytania i odpowiedzi do zestawu. Przygotowanie do szkiełek rocznych pod koniec I roku histologii SUM - wszystkie szczegóły wszystkich preparatów. Test odpalamy w trybie „rozwiąż test” lub „fiszki”; rozwiązujemy go skrolując stronę do momentu ukazania się całego zdjęcia preparatu, później zastanawiamy się, jaki to jest szczegół oraz preparat (nazwy preparatów są podane w nawiasach), następnie skrolujemy odrobinę dalej aby ukazać odpowiedź, która umieszczona jest pod każdym obrazkiem.
Ilość pytań: 733 Rozwiązywany: 47189 razy
Pytanie 701
skóra właściwa (prącie)
Pytanie 702
naskórek (prącie)
Pytanie 703
pień nerwowy (prącie)
Pytanie 704
mała tętnica (prącie)
Pytanie 705
komórki śródmiąższowe Leydiga - występują w grupach, zarówno w błonie białawej, w śródjądrzu jaki i w zrębie płacików, komórki te są jasne o charakterystycznej piankowatej cytoplazmie (jądro)
Pytanie 706
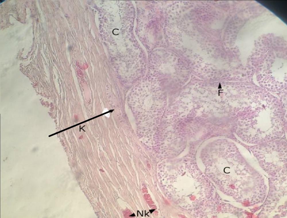
tkanka łączna zrębu (jądro)
Pytanie 707
kanaliki kręte, pokryte nabłonkiem plemnikotwórczym (jądro)
Pytanie 708
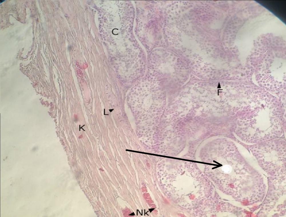
mała tętnica w zrębie jądra (jądro)
Pytanie 709
komórki śródmiąższowe Leydiga (jądro)
Pytanie 710
tkanka łączna śródjądrza (jądro)
Pytanie 711
nabłonek plemnikotwórczy (jądro)
Pytanie 712
kanalik kręty (jądro)
Pytanie 713
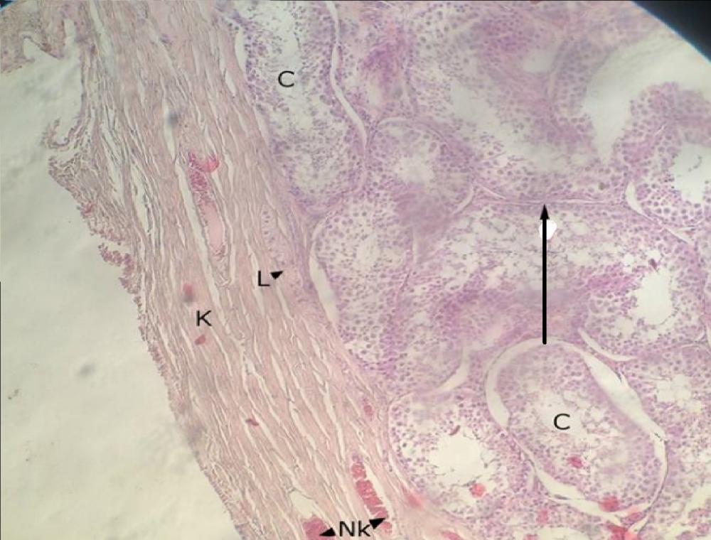
kanaliki sieci jądra (jądro)
Pytanie 714
tkanka łączna zrębu (jądro)
Pytanie 715
nabłonek jednowarstwowy sześcienny kanalika sieci jądra (jądro)
Pytanie 716
komórki Leydiga (jądro)
Pytanie 717
części bliższe przewodów najądrza
Pytanie 718
części dalsze przewodów najądrza
Pytanie 719
kanaliki odprowadzające jądra, ze zróżnicowanym nabłonkiem - jednowarstwowym sześciennym i jednowarstwowym walcowatym (najądrze)
Pytanie 720
bliższa część przewodu najądrza, mabłonek jest tu jednowarstwowy walcowaty, dwurzędowy, w świetle przewodu widoczne są plemniki (najądrze)