Pytania i odpowiedzi

Histologia - szkiełka ultimate

Zebrane pytania i odpowiedzi do zestawu. Przygotowanie do szkiełek rocznych pod koniec I roku histologii SUM - wszystkie szczegóły wszystkich preparatów. Test odpalamy w trybie „rozwiąż test” lub „fiszki”; rozwiązujemy go skrolując stronę do momentu ukazania się całego zdjęcia preparatu, później zastanawiamy się, jaki to jest szczegół oraz preparat (nazwy preparatów są podane w nawiasach), następnie skrolujemy odrobinę dalej aby ukazać odpowiedź, która umieszczona jest pod każdym obrazkiem.
Ilość pytań: 733 Rozwiązywany: 47189 razy
Pytanie 681
więzadło szerokie (macica, więzadło szerokie)
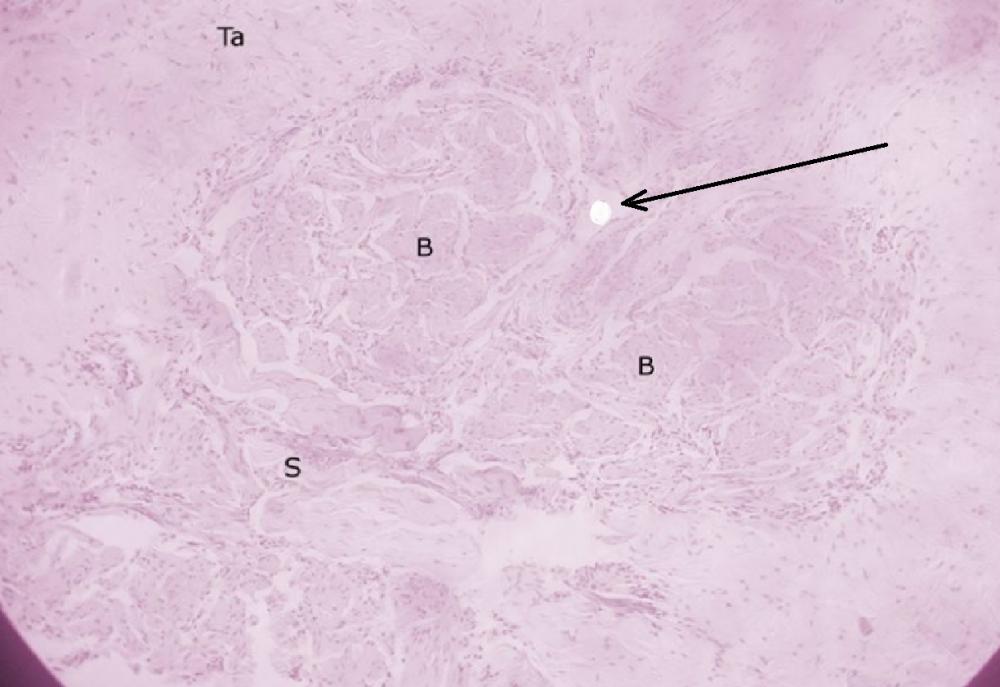
Pytanie 682
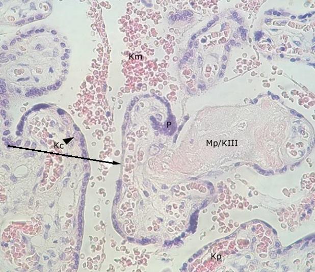
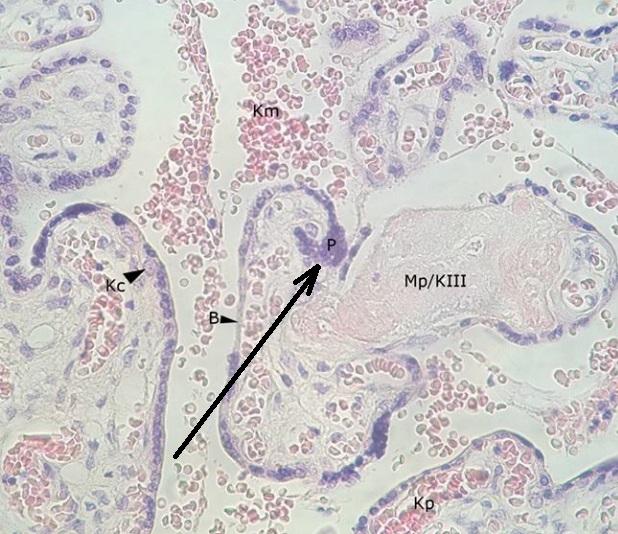
węzeł syncytiotrofoblastu (łożysko, płyta kosmówkowa)
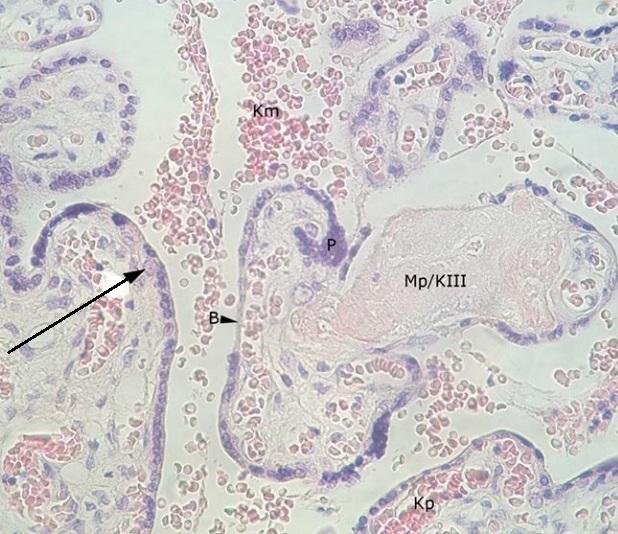
Pytanie 683
płytka nabłonkowo-naczyniowa (łożysko, płyta kosmówkowa)
Pytanie 684
komórka cytotrofoblastu (łożysko, płyta kosmówkowa)
Pytanie 685
fibrynoid (łożysko, płyta kosmówkowa)
Pytanie 686
syncytiotrofoblast (łożysko, płyta kosmówkowa)
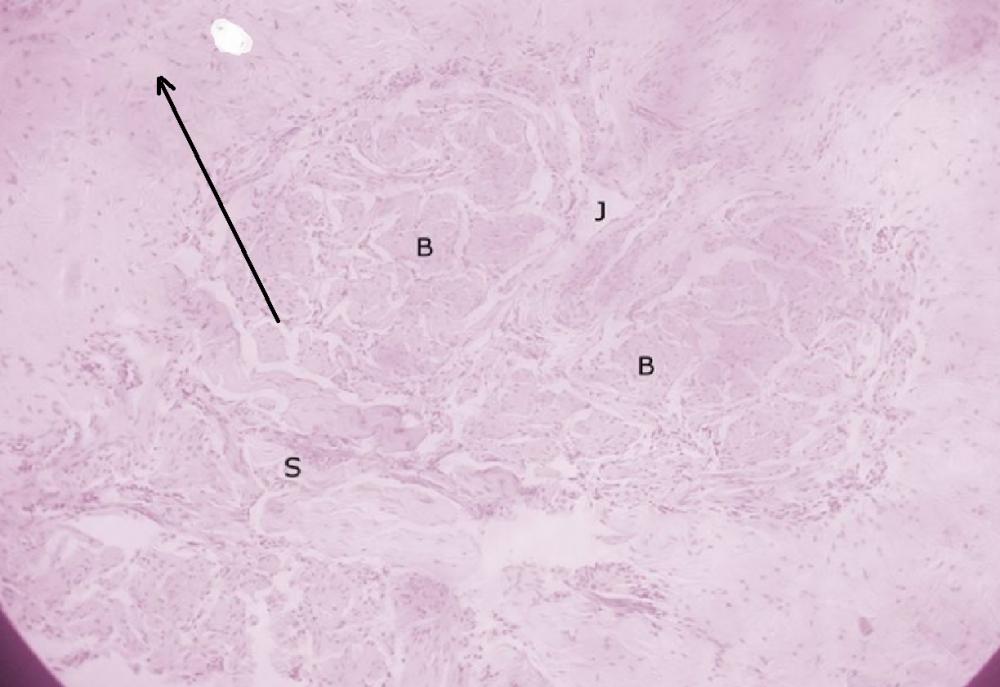
Pytanie 687
węzeł zespólniowy (łożysko, płyta kosmówkowa)
Pytanie 688
kosmki III-rzędowe (łożysko, płyta kosmówkowa)
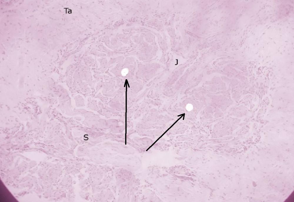
Pytanie 689
węzeł zespólniowy (łożysko, płyta kosmówkowa)
Pytanie 690
błonka nabłokowo-naczyniowa (łożysko, płyta kosmówkowa)
Pytanie 691
pojedyncze komórki cytotrofoblastu (łożysko, płyta kosmówkowa)
Pytanie 692
przewód mlekowy (gruczoł sutkowy czynny)
Pytanie 693
przewód śródpłacikowy (gruczoł sutkowy czynny)
Pytanie 694
pęcherzyki wydzielnicze (gruczoł sutkowy czynny)
Pytanie 695
tętnica (gruczoł sutkowy czynny)
Pytanie 696
tkanka łączna włóknista zrębu (gruczoł sutkowy czynny)
Pytanie 697
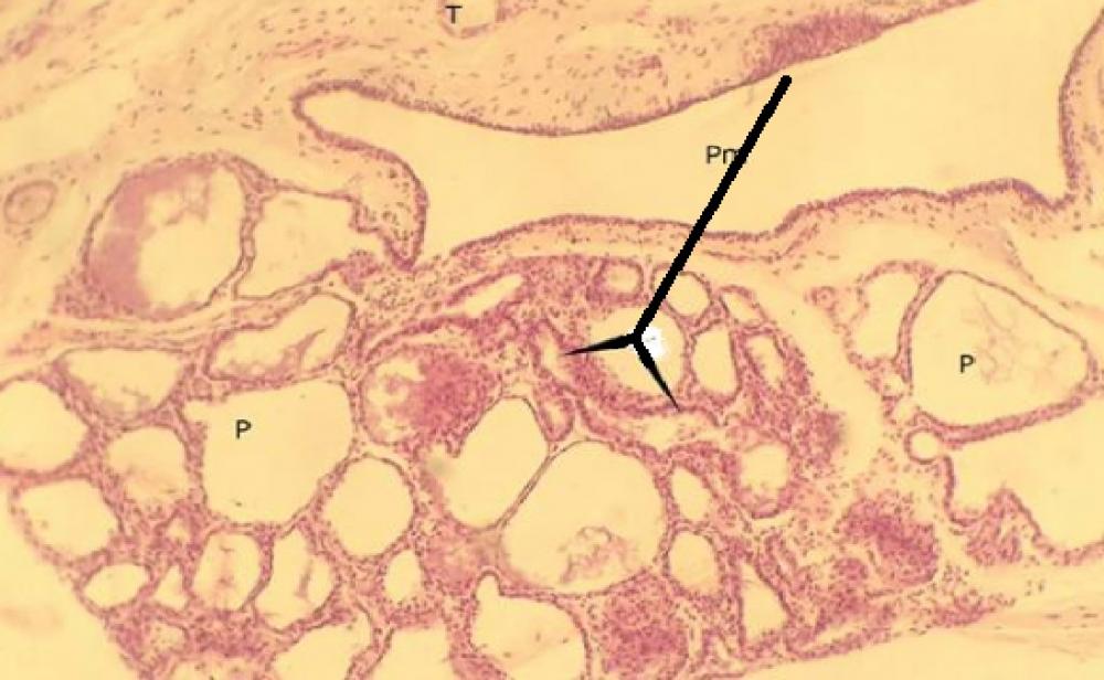
przegroda prącia
Pytanie 698
beleczka łącznotkankowo-mięśniowa ciała jamistego (prącie)
Pytanie 699
jamka ciała jamistego (prącie)
Pytanie 700
błona biaława (prącie)