Pytania i odpowiedzi

Histologia - szkiełka ultimate

Zebrane pytania i odpowiedzi do zestawu. Przygotowanie do szkiełek rocznych pod koniec I roku histologii SUM - wszystkie szczegóły wszystkich preparatów. Test odpalamy w trybie „rozwiąż test” lub „fiszki”; rozwiązujemy go skrolując stronę do momentu ukazania się całego zdjęcia preparatu, później zastanawiamy się, jaki to jest szczegół oraz preparat (nazwy preparatów są podane w nawiasach), następnie skrolujemy odrobinę dalej aby ukazać odpowiedź, która umieszczona jest pod każdym obrazkiem.
Ilość pytań: 733 Rozwiązywany: 47189 razy
Pytanie 721
dalsza część przewodu najądrza, światło przekroju jest większe, ale nabłonek niższy, chociaż typ ten sam jak w części bliższej (najądrze)
Pytanie 722
cewko-pęcherzyk - część wydzielnicza gruczołu krokowego (gruczoł krokowy)
Pytanie 723
zrąb - w którego skład wchodzą licznie komórki mięśniowe gładkie (gruczoł krokowy)
Pytanie 724
części wyprowadzające gruczołu krokowego (gruczoł krokowy)
Pytanie 725
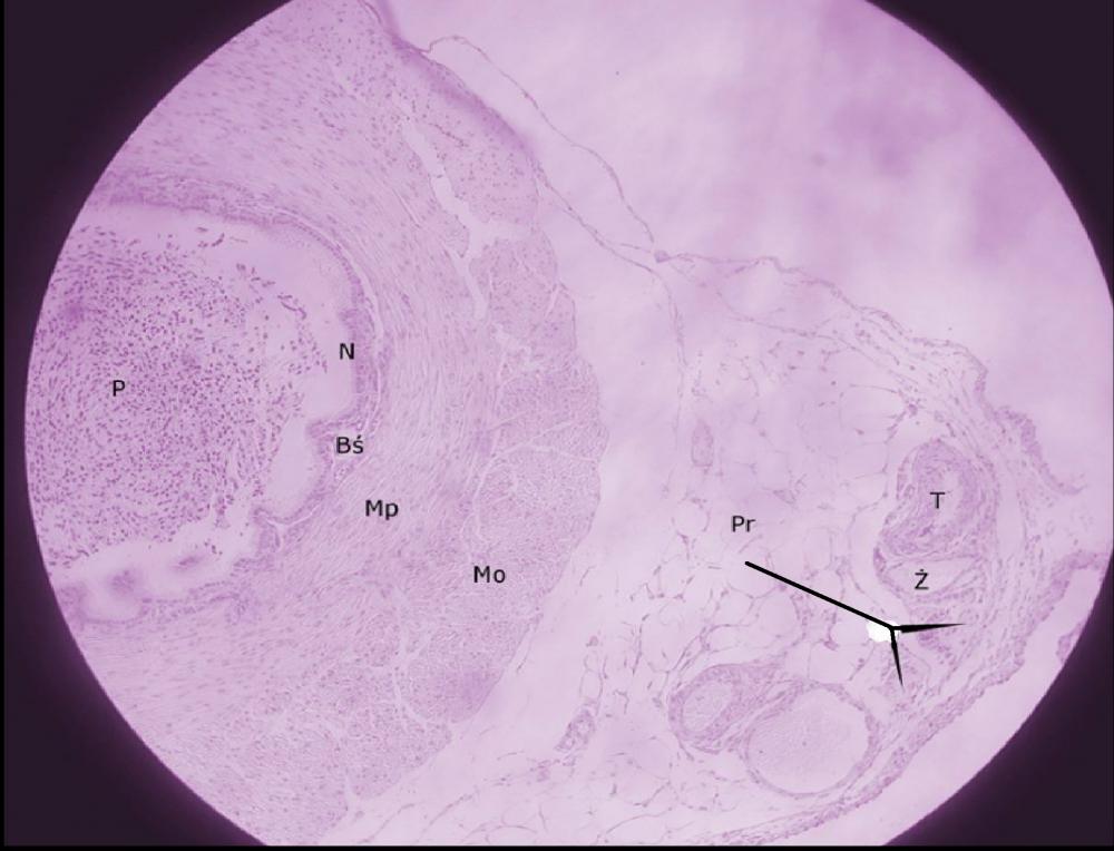
plemniki (nasieniowód)
Pytanie 726
nabłonek (nasieniowód)
Pytanie 727
błona śluzowa (nasieniowód)
Pytanie 728
warstwa okrężna miocytów gładkich (nasieniowód)
Pytanie 729
warstwa podłużna miocytów gładkich (nasieniowód)
Pytanie 730
przydanka (nasieniowód)
Pytanie 731
tętnica (nasieniowód)
Pytanie 732
żyła (nasieniowód)
Pytanie 733
pnie nerwowe (nasieniowód)