Pytania i odpowiedzi

Histologia - szkiełka ultimate

Zebrane pytania i odpowiedzi do zestawu. Przygotowanie do szkiełek rocznych pod koniec I roku histologii SUM - wszystkie szczegóły wszystkich preparatów. Test odpalamy w trybie „rozwiąż test” lub „fiszki”; rozwiązujemy go skrolując stronę do momentu ukazania się całego zdjęcia preparatu, później zastanawiamy się, jaki to jest szczegół oraz preparat (nazwy preparatów są podane w nawiasach), następnie skrolujemy odrobinę dalej aby ukazać odpowiedź, która umieszczona jest pod każdym obrazkiem.
Ilość pytań: 733 Rozwiązywany: 47189 razy
Pytanie 661
wieniec promienisty (jajnik)
Pytanie 662
wzgórek jajonośny (jajnik)
Pytanie 663
jama pęcherzyka Graafa 2 (jajnik)
Pytanie 664
idz de numbah six-six-six pal
Pytanie 665
tkanka łączna w rdzeniu jajnika - rdzeń poznajemy po dużej ilości tkanki łącznej i naczyń krwionośnych, a także po braku pęcherzyków (jajnik)
Pytanie 666
tętniczka (jajnik)
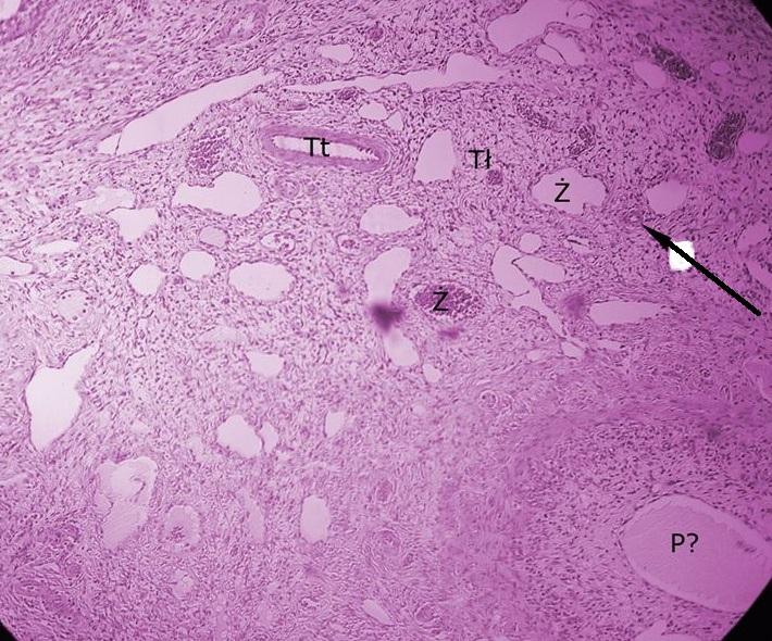
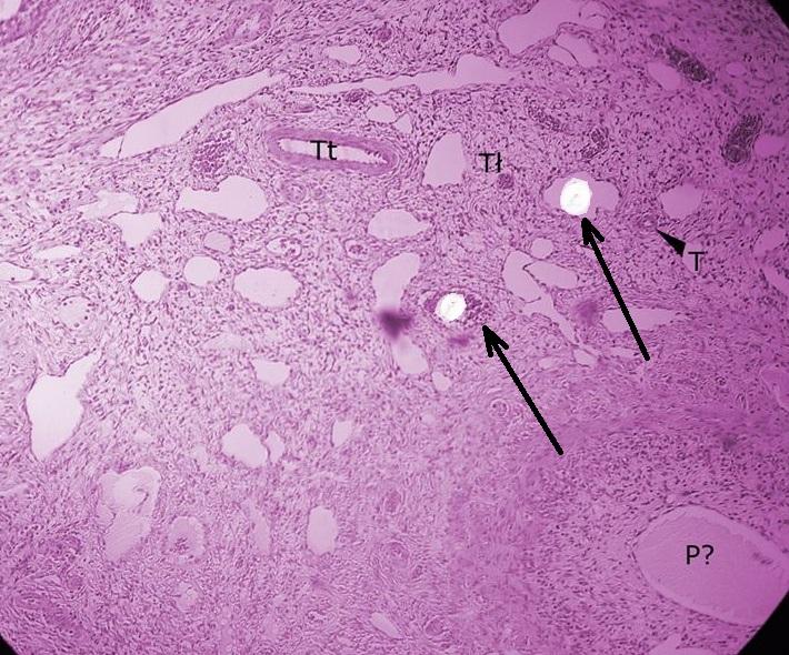
Pytanie 667
żyły (jajnik)
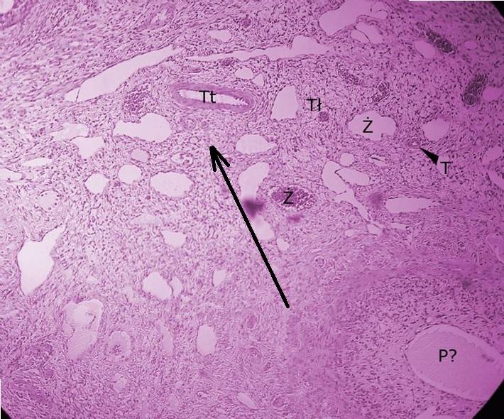
Pytanie 668
tętnica (jajnik, okolica jajowodu)
Pytanie 669
żyła (jajnik, okolica jajowodu)
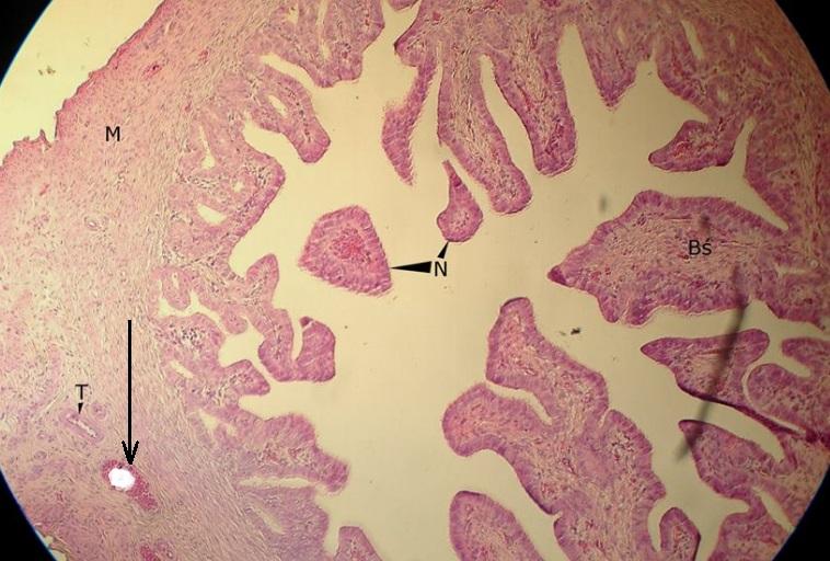
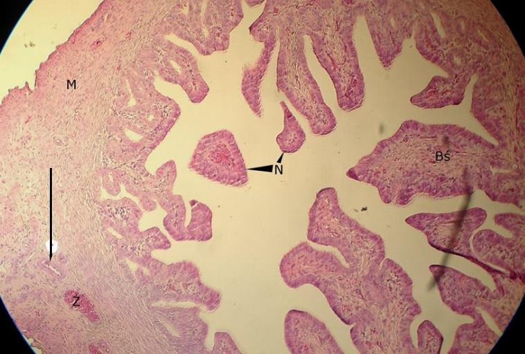
Pytanie 670
tętnica (jajowód)
Pytanie 671
tętnica (jajowód)
Pytanie 672
żyła (jajowód)
Pytanie 673
żyła (macica)
Pytanie 674
tętniczka - charakterystyczne skrzyżowanie jąder (macica)
Pytanie 675
błona śluzowa - endometrium (macica)
Pytanie 676
warstwa naczyniowa - znajduje się pomiędzy mięśniówkami (macica)
Pytanie 677
mięśniówka gładka - warstwa okrężna (macica)
Pytanie 678
mięśniówka gładka - warstwa podłużna (macica)
Pytanie 679
żyła (macica, więzadło szerokie)
Pytanie 680
tętnica (macica, więzadło szerokie)