Pytania i odpowiedzi

Histologia - szkiełka ultimate

Zebrane pytania i odpowiedzi do zestawu. Przygotowanie do szkiełek rocznych pod koniec I roku histologii SUM - wszystkie szczegóły wszystkich preparatów. Test odpalamy w trybie „rozwiąż test” lub „fiszki”; rozwiązujemy go skrolując stronę do momentu ukazania się całego zdjęcia preparatu, później zastanawiamy się, jaki to jest szczegół oraz preparat (nazwy preparatów są podane w nawiasach), następnie skrolujemy odrobinę dalej aby ukazać odpowiedź, która umieszczona jest pod każdym obrazkiem.
Ilość pytań: 733 Rozwiązywany: 47189 razy
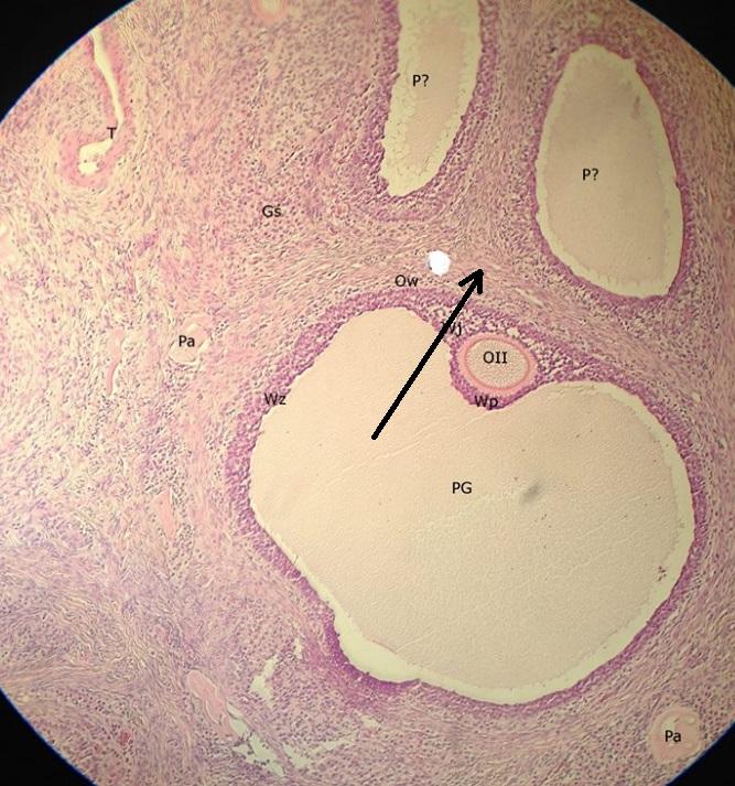
Pytanie 641
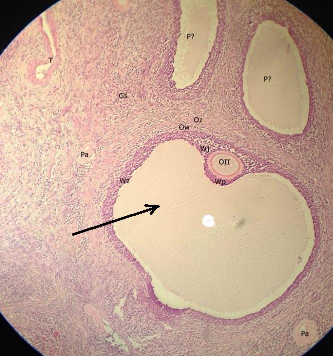
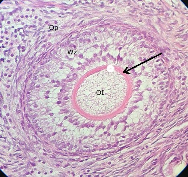
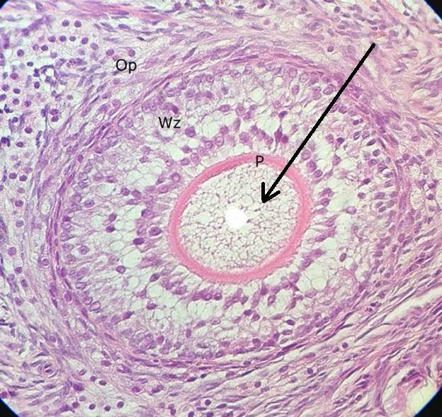
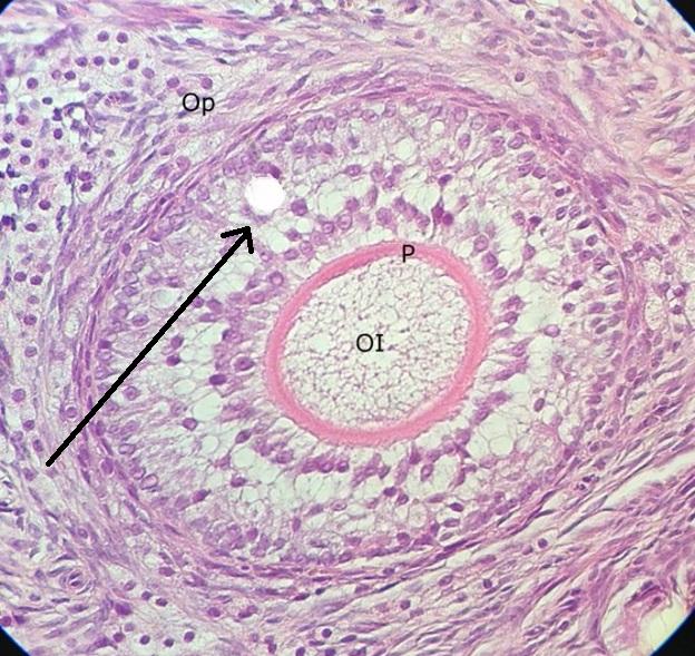
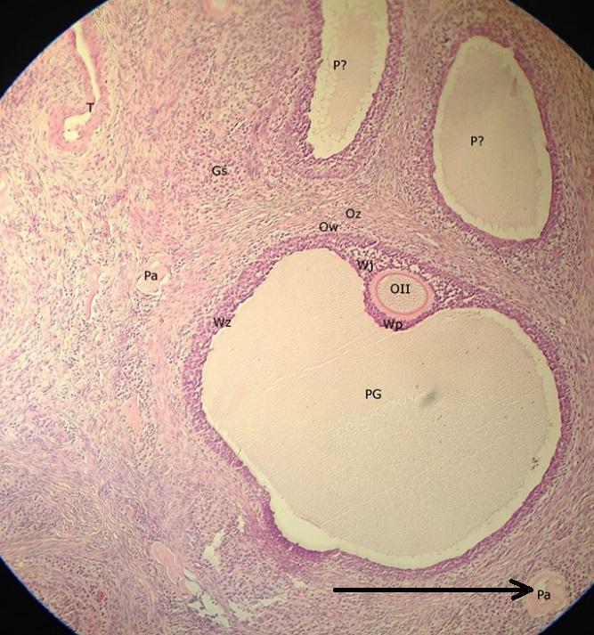
warstwa ziarnista (jajnik)
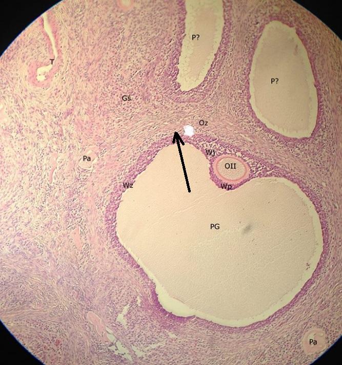
Pytanie 642
osłonka przejrzysta (jajnik)
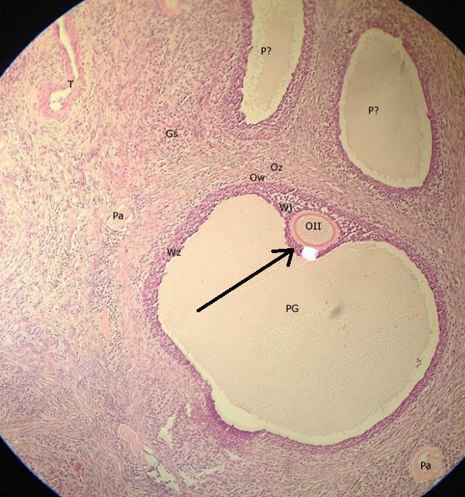
Pytanie 643
oocyt I rzędu (jajnik)
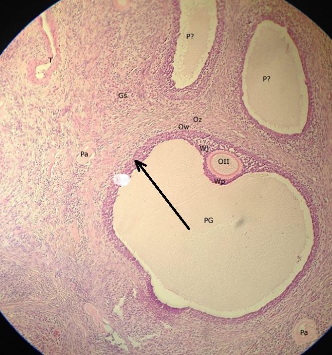
Pytanie 644
pęcherzyk atrezyjny (jajnik)
Pytanie 645
osłonki wewnętrzne pęcherzyków jajnikowych (jajnik)
Pytanie 646
osłonki zewnętrzne pęcherzyków jajnikowych (jajnik)
Pytanie 647
warstwa ziarnista pęcherzyków jajnikowych (jajnik)
Pytanie 648
jama pęcherzyka dojrzewającego (jajnik)
Pytanie 649
oocyt I rzędu (jajnik)
Pytanie 650
jama pęcherzyka dojrzewającego (jajnik)
Pytanie 651
jama pęcherzyka Graafa (jajnik)
Pytanie 652
pęcherzyk atrezyjny (jajnik)
Pytanie 653
pęcherzyk dojrzały - Graafa (jajnik)
Pytanie 654
warstwa ziarnista (jajnik)
Pytanie 655
wieniec promienisty (jajnik)
Pytanie 656
wzgórek jajonośny (jajnik)
Pytanie 657
oocyt II rzędu (jajnik)
Pytanie 658
osłonka wewnętrzna (jajnik)
Pytanie 659
osłonka zewnętrzna (jajnik)
Pytanie 660
gruczoł śródmiąższowy (jajnik)