Pytania i odpowiedzi

Histologia - szkiełka ultimate

Zebrane pytania i odpowiedzi do zestawu. Przygotowanie do szkiełek rocznych pod koniec I roku histologii SUM - wszystkie szczegóły wszystkich preparatów. Test odpalamy w trybie „rozwiąż test” lub „fiszki”; rozwiązujemy go skrolując stronę do momentu ukazania się całego zdjęcia preparatu, później zastanawiamy się, jaki to jest szczegół oraz preparat (nazwy preparatów są podane w nawiasach), następnie skrolujemy odrobinę dalej aby ukazać odpowiedź, która umieszczona jest pod każdym obrazkiem.
Ilość pytań: 733 Rozwiązywany: 47189 razy
Pytanie 621
wyrostek lejka (przysadka zwierzęca)
Pytanie 622
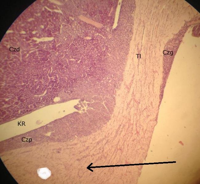
trzon lejka (przysadka zwierzęca)
Pytanie 623
wyrostek lejka (przysadka zwierzęca)
Pytanie 624
trzon lejka (przysadka zwierzęca)
Pytanie 625
część guzowa przysadki mózgowej - wąskie pasmo za trzonem lejka (przysadka zwierzęca)
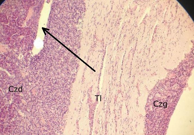
Pytanie 626
duża sinusoida w płacie przednim przysadki (przysadka zwierzęca)
Pytanie 627
trzon lejka (przysadka zwierzęca)
Pytanie 628
część guzowa przysadki (przysadka zwierzęca)
Pytanie 629
pęcherzyk wypełniony koloidem (przysadka mózgowa - część gruczołowa, barwienie metodą Sliddersa).jpg
Pytanie 630
tkanka tłuszczowa żółta (tarczyca)
Pytanie 631
sznury komórkowe, tworzące pseudopęcherzyki przytarczycy (tarczyca)
Pytanie 632
tkanka łączna dzieląca przytarczycę na pseudopłaciki
Pytanie 633
sporych rozmiarów tętnica (tarczyca)
Pytanie 634
pnie nerwowe (tarczyca)
Pytanie 635
arteriole (tarczyca)
Pytanie 636
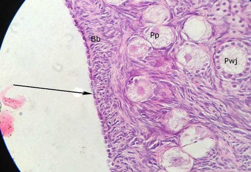
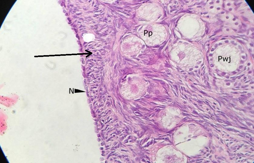
nabłonek płciowy (jajnik)
Pytanie 637
błona biaława (jajnik)
Pytanie 638
pęcherzyk wzrastający jednopokładowy - jeszcze nie wykształciła się osłonka przejrzysta (jajnik)
Pytanie 639
płaskie komórki pęcherzykowe - z nich powstaną komórki warstwy ziarnistej (jajnik)
Pytanie 640
tworząca się osłona pęcherzyka (jajnik)