Pytania i odpowiedzi

Histologia - szkiełka ultimate

Zebrane pytania i odpowiedzi do zestawu. Przygotowanie do szkiełek rocznych pod koniec I roku histologii SUM - wszystkie szczegóły wszystkich preparatów. Test odpalamy w trybie „rozwiąż test” lub „fiszki”; rozwiązujemy go skrolując stronę do momentu ukazania się całego zdjęcia preparatu, później zastanawiamy się, jaki to jest szczegół oraz preparat (nazwy preparatów są podane w nawiasach), następnie skrolujemy odrobinę dalej aby ukazać odpowiedź, która umieszczona jest pod każdym obrazkiem.
Ilość pytań: 733 Rozwiązywany: 47189 razy
Pytanie 601
przewody wyprowadzające gruczołów surowiczych Ebnera (język, brodawka okolona)
Pytanie 602
grudka chłonna (pęcherzyk żółciowy)
Pytanie 603
pień nerwowy (pęcherzyk żółciowy)
Pytanie 604
przydanka (pęcherzyk żółciowy)
Pytanie 605
żyły (pęcherzyk żółciowy)
Pytanie 606
małe tętnice (pęcherzyk żółciowy)
Pytanie 607
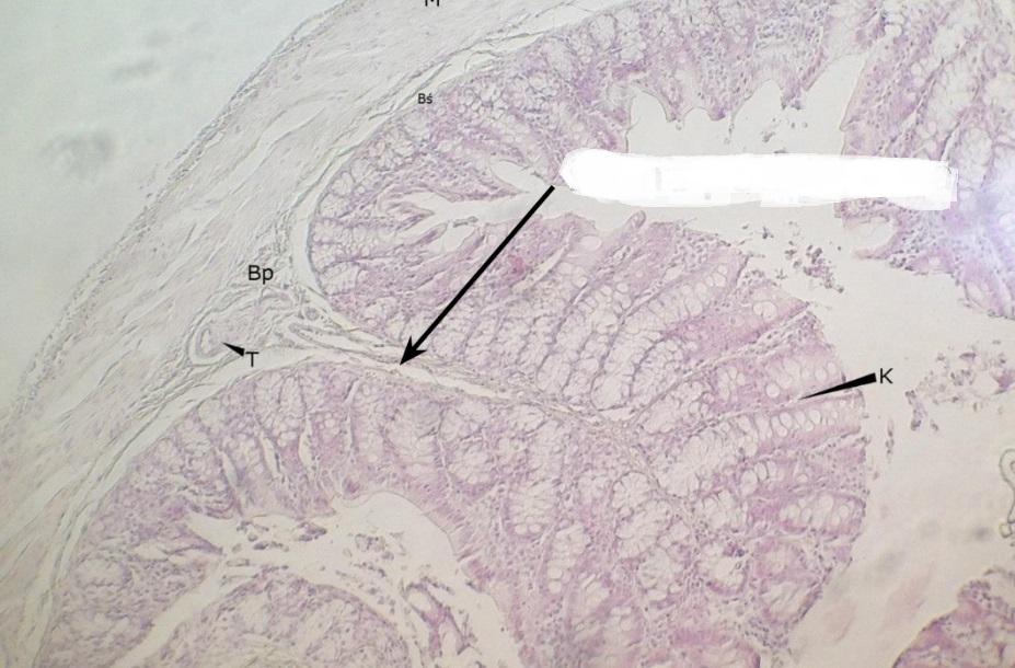
tkanka limfatyczna, naciekająca błonę śluzową (wyrostek robaczkowy)
Pytanie 608
błona podśluzowa (wyrostek robaczkowy)
Pytanie 609
blaszka mięśniowa błony śluzowej (jelito grube)
Pytanie 610
błona podśluzowa (jelito grube)
Pytanie 611
splot Auerbacha (jelito cienkie, czcze)
Pytanie 612
mięśniówka gładka - podłużna (jelito cienkie, czcze)
Pytanie 613
mięśniówka gładka - okrężna (jelito cienkie, czcze)
Pytanie 614
komórka zwojowa splotu Meissnera (jelito cienkie, czcze)
Pytanie 615
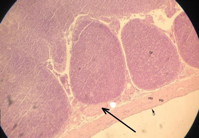
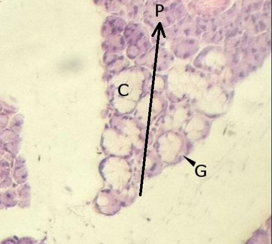
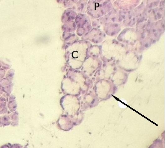
półksiężyc Giannuziego (ślinianka podjęzykowa i ślinianka podżuchwowa, ślinianka podżuchwowa)
Pytanie 616
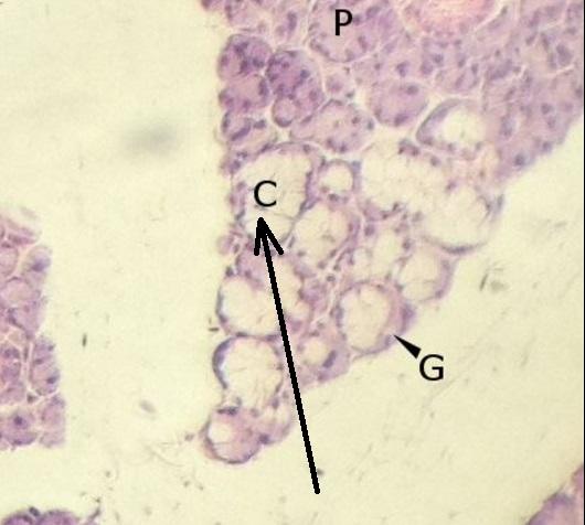
cewka śluzowa (ślinianka podjęzykowa i ślinianka podżuchwowa, ślinianka podżuchwowa)
Pytanie 617
pęcherzyk surowiczy (ślinianka podjęzykowa i ślinianka podżuchwowa, ślinianka podżuchwowa)
Pytanie 618
wyrostek lejka - płat tylny przysadki mózgowej (przysadka zwierzęca)
Pytanie 619
część pośrednia przysadki gruczołowej (przysadka zwierzęca)
Pytanie 620
płat przedni przysadki gruczołowej (przysadka zwierzęca)