Pytania i odpowiedzi

Histologia - szkiełka ultimate

Zebrane pytania i odpowiedzi do zestawu. Przygotowanie do szkiełek rocznych pod koniec I roku histologii SUM - wszystkie szczegóły wszystkich preparatów. Test odpalamy w trybie „rozwiąż test” lub „fiszki”; rozwiązujemy go skrolując stronę do momentu ukazania się całego zdjęcia preparatu, później zastanawiamy się, jaki to jest szczegół oraz preparat (nazwy preparatów są podane w nawiasach), następnie skrolujemy odrobinę dalej aby ukazać odpowiedź, która umieszczona jest pod każdym obrazkiem.
Ilość pytań: 733 Rozwiązywany: 47189 razy
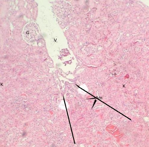
Pytanie 581
tętniczki doprowadzające, odchodzące od tętnicy międzyzrazikowej (nerka)
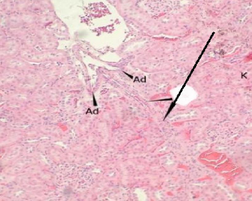
Pytanie 582
tętniczka międzyzrazikowa - skrojona podłużnie (nerka)
Pytanie 583
przejście nabłonka walcowatego w nabłonek przejściowy (nerka)
Pytanie 584
żyła łukowata - z rozerwanym śródbłonkiem (nerka)
Pytanie 585
tętnica łukowata - naczynia łukowate zawsze na granicy kora/rdzeń (nerka)
Pytanie 586
grudka limfatyczna (oskrzela z przełykiem)
Pytanie 587
łącznotkankowe więzadło pomiędzy płytkami chrzęstnymi (oskrzela z przełykiem)
Pytanie 588
nabłonek oddechowy - wielorzędowy, zawiera komórki kubkowe (oskrzela z przełykiem)
Pytanie 589
tkanka łączna tłuszczowa żółta (oskrzela z przełykiem)
Pytanie 590
tętnica (oskrzela z przełykiem)
Pytanie 591
oskrzelik końcowy (płuco, barwienie fuksyną paraaldehydową)
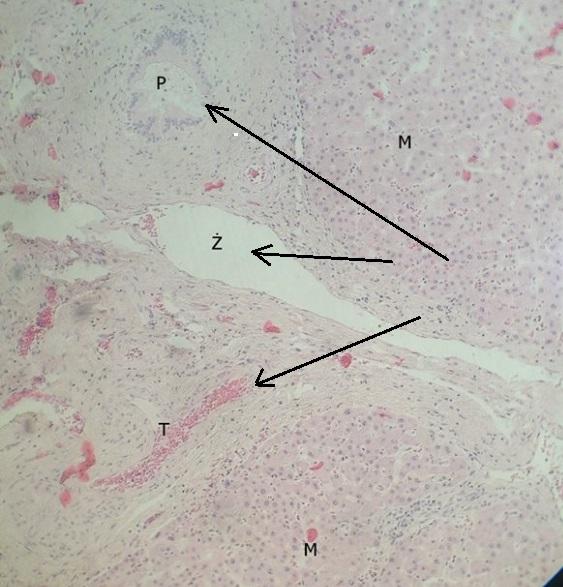
Pytanie 592
triada wątrobowa (wątroba ludzka)
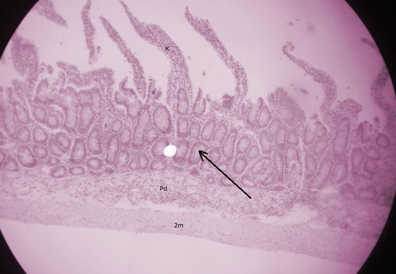
Pytanie 593
błona śluzowa z kryptami jelitowymi (przejście żołądka w dwunastnicę)
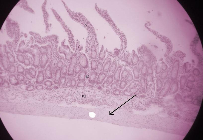
Pytanie 594
gruczoły Brunnera (przejście żołądka w dwunastnicę)
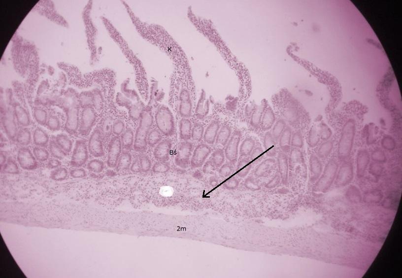
Pytanie 595
dwuwarstwowa mięśniówka (przejście żołądka w dwunastnicę)
Pytanie 596
cewki śluzowe (język, brodawka okolona)
Pytanie 597
gruczoły surowicze Ebnera (język, brodawka okolona)
Pytanie 598
nabłonek wielowarstwowy płaski nierogowaciejący (język, brodawka okolona)
Pytanie 599
rów okołobrodawkowy (język, brodawka okolona)
Pytanie 600
kubki smakowe - beczułkowate, jasne twory (język, brodawka okolona)