Pytania i odpowiedzi

Histologia - szkiełka ultimate

Zebrane pytania i odpowiedzi do zestawu. Przygotowanie do szkiełek rocznych pod koniec I roku histologii SUM - wszystkie szczegóły wszystkich preparatów. Test odpalamy w trybie „rozwiąż test” lub „fiszki”; rozwiązujemy go skrolując stronę do momentu ukazania się całego zdjęcia preparatu, później zastanawiamy się, jaki to jest szczegół oraz preparat (nazwy preparatów są podane w nawiasach), następnie skrolujemy odrobinę dalej aby ukazać odpowiedź, która umieszczona jest pod każdym obrazkiem.
Ilość pytań: 733 Rozwiązywany: 47189 razy
Pytanie 561
przydanka (nasieniowód)
Pytanie 562
część wydzielnicza gruczołów - pofałdowana błona śluzowa (gruczoł krokowy, gruczoły główne)
Pytanie 563
część wyprowadzająca gruczołów - niski nabłonek, widać wydzielinę - ciała amyloidalne/kamyki sterczowe (gruczoł krokowy, gruczoły główne)
Pytanie 564
zrąb - zbudowany z tkanki łącznej zbitej o utkaniu nieregularnym i miocytów gładkich (gruczoł krokowy, gruczoły główne)
Pytanie 565
ciało amyloidalne/kamyk sterczowy (gruczoł krokowy, gruczoły główne)
Pytanie 566
cewka moczowa (prącie)
Pytanie 567
nabłonek wielowarstwowy walcowaty/sześcienny (prącie)
Pytanie 568
ciało gąbczaste (prącie)
Pytanie 569
skóra właściwa (prącie)
Pytanie 570
nabłonek wielowarstwowy płaski rogowaciejący (prącie)
Pytanie 571
błona biaława (prącie)
Pytanie 572
ciało jamiste (prącie)
Pytanie 573
tętnica głęboka prącia (prącie)
Pytanie 574
tętnica powierzchowna prącia (prącie)
Pytanie 575
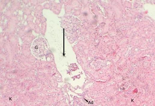
biegun naczyniowy (nerka)
Pytanie 576
biegun kanalikowy kłębuszka (nerka)
Pytanie 577
tętniczka doprowadzająca (nerka)
Pytanie 578
tętnica międzyzrazikowa (nerka)
Pytanie 579
żyła (nerka)
Pytanie 580
żyła międzyzrazikowa (nerka)