Pytania i odpowiedzi

Histologia - szkiełka ultimate

Zebrane pytania i odpowiedzi do zestawu. Przygotowanie do szkiełek rocznych pod koniec I roku histologii SUM - wszystkie szczegóły wszystkich preparatów. Test odpalamy w trybie „rozwiąż test” lub „fiszki”; rozwiązujemy go skrolując stronę do momentu ukazania się całego zdjęcia preparatu, później zastanawiamy się, jaki to jest szczegół oraz preparat (nazwy preparatów są podane w nawiasach), następnie skrolujemy odrobinę dalej aby ukazać odpowiedź, która umieszczona jest pod każdym obrazkiem.
Ilość pytań: 733 Rozwiązywany: 47189 razy
Pytanie 541
kanalik prosty - komórki Sertolego (jądro)
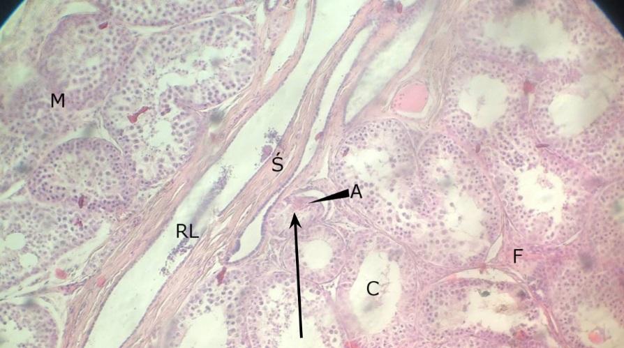
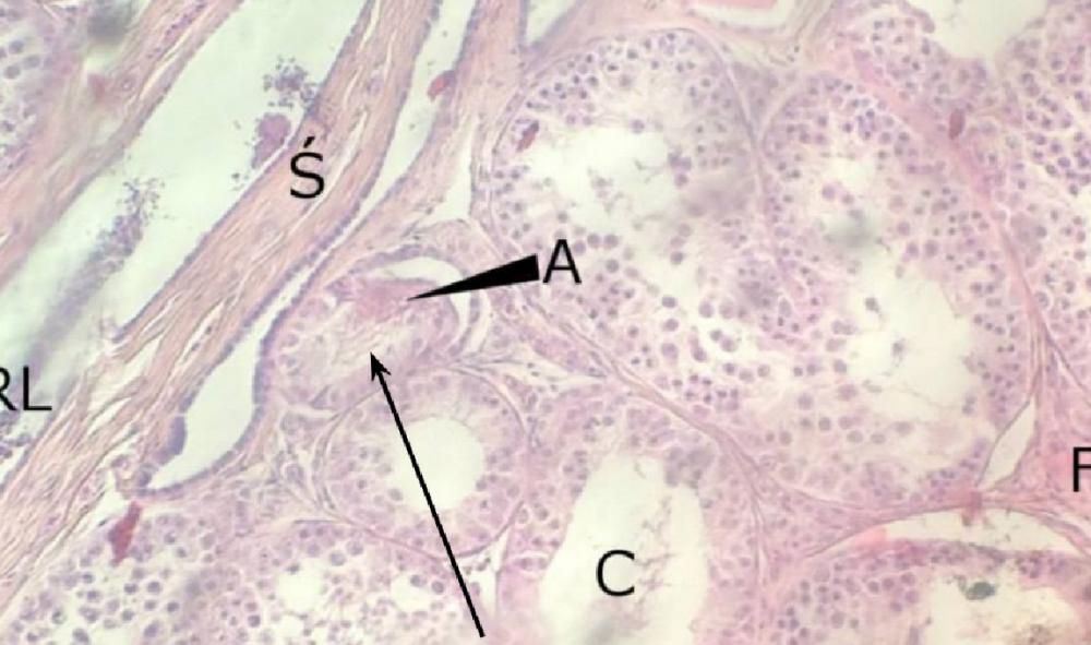
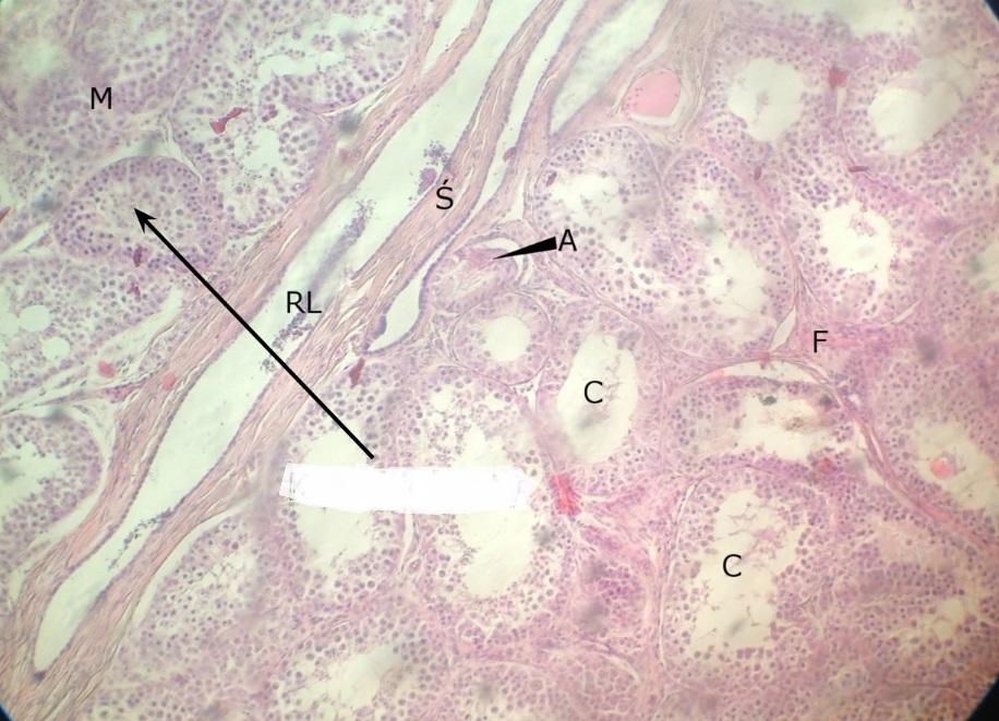
Pytanie 542
błona biaława (jądro)
Pytanie 543
kanalik kręty (jądro)
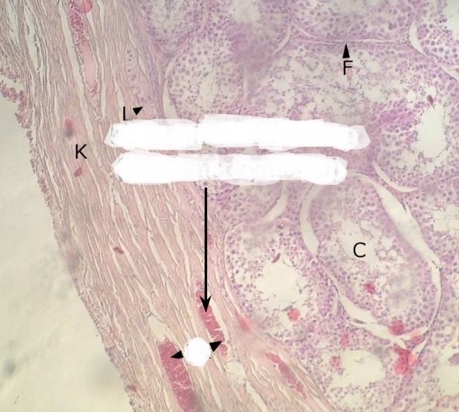
Pytanie 544
naczynie krwionośne - błona naczyniowa (jądro)
Pytanie 545
kanalik kręty (jądro)
Pytanie 546
kanaliki sieci jądra - nabłonek jednowarstwowy sześcienny (jądro)
Pytanie 547
przejście kanalika prostego w kanalik sieci jądra (jądro)
Pytanie 548
przejście kanalika prostego w kanalik sieci jądra (jądro)
Pytanie 549
kanalik kręty (jądro)
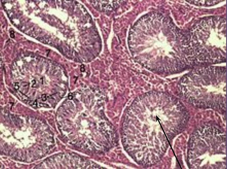
Pytanie 550
spermatogonie - małe i ciemnofioletowe, pierwsza warstwa od zewnątrz (jądro)
Pytanie 551
spermatocyty I rzędu - największe i ciemnofioletowe (jądro)
Pytanie 552
spermatocyty II rzędu/spermatydy - małe i jasne komórki (jądro)
Pytanie 553
plemniki (jądro)
Pytanie 554
przewodziki odprowadzające jądra - nabłonek jednowarstwowy walcowaty z rzęskami i jednowarstwowy sześcienny z mikrokosmkami (najądrze)
Pytanie 555
przewód najądrza - nabłonek dwurzędowy ze stereocyliami (najądrze)
Pytanie 556
strzałka powyżej - przewód najądrza, część proksymalna, wyższy nabłonek i węższe światło; strzałka poniżej - przewód najądrza, część dystalna, niski nabłonek i szerokie światło, wokół występuje mięśniówka (najądrze)
Pytanie 557
pofałdowana błona śluzowa z nabłonkiem dwurzędowym walcowatym (nasieniowód)
Pytanie 558
blaszka właściwa błony śluzowej (nasieniowód)
Pytanie 559
warstwa okrężna mięśniówki (nasieniowód)
Pytanie 560
warstwa podłużna mięśniówki (nasieniowód)