Pytania i odpowiedzi

Histologia - szkiełka ultimate

Zebrane pytania i odpowiedzi do zestawu. Przygotowanie do szkiełek rocznych pod koniec I roku histologii SUM - wszystkie szczegóły wszystkich preparatów. Test odpalamy w trybie „rozwiąż test” lub „fiszki”; rozwiązujemy go skrolując stronę do momentu ukazania się całego zdjęcia preparatu, później zastanawiamy się, jaki to jest szczegół oraz preparat (nazwy preparatów są podane w nawiasach), następnie skrolujemy odrobinę dalej aby ukazać odpowiedź, która umieszczona jest pod każdym obrazkiem.
Ilość pytań: 733 Rozwiązywany: 47187 razy
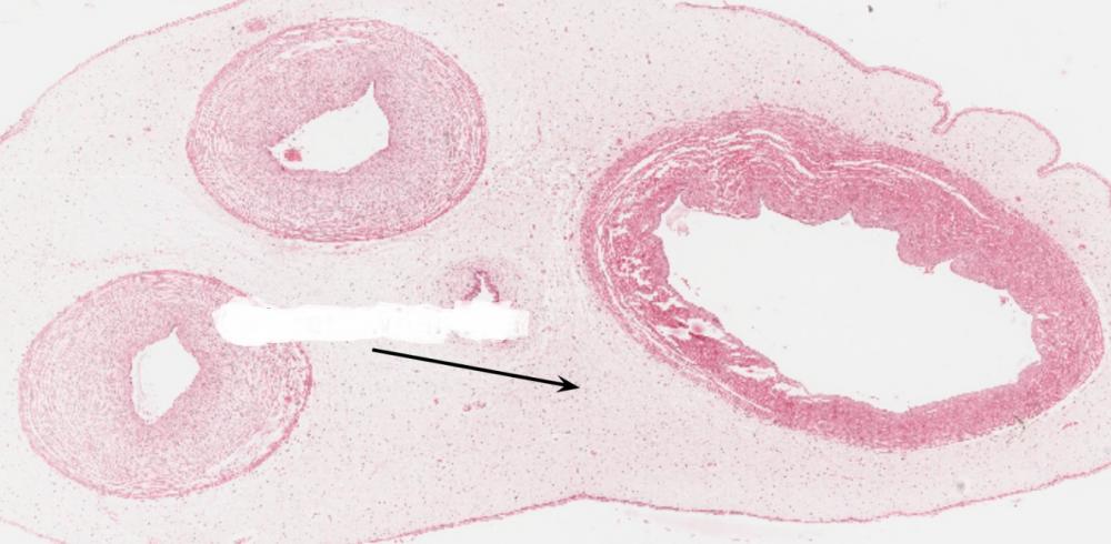
Pytanie 521
przewód omoczniowy (pępowina)
Pytanie 522
galareta Whartona (pępowina)
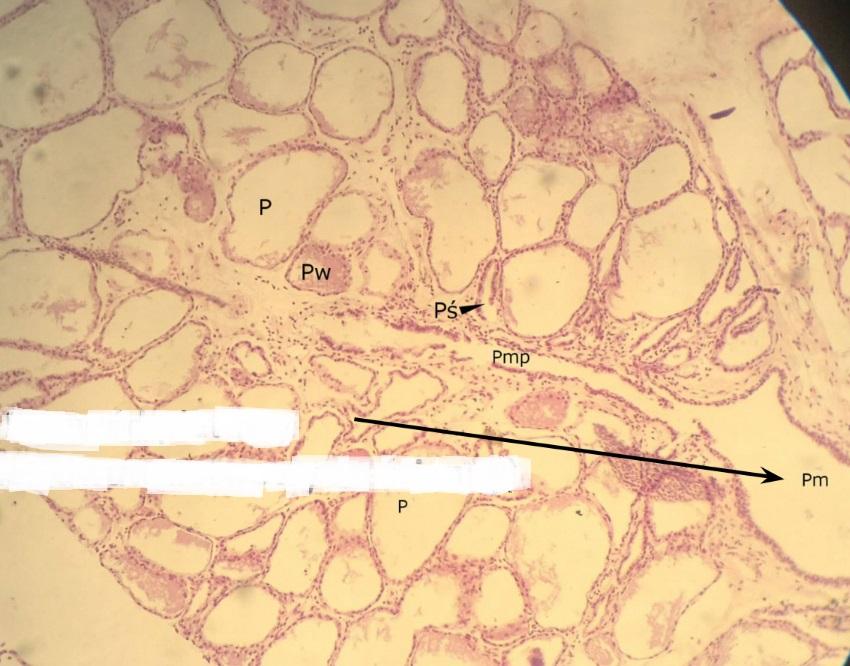
Pytanie 523
pęcherzyki wydzielnicze , ten oznaczony dwiema strzałkami - z wydzieliną w środku (gruczoł sutkowy czynny)
Pytanie 524
przewody śródpłacikowe - z nabłonkiem jednowarstwowym sześciennym (gruczoł sutkowy czynny)
Pytanie 525
przewód międzypłacikowy - z nabłonkiem jednowarstwowym sześciennym lub walcowatym (gruczoł sutkowy czynny)
Pytanie 526
przewód płatowy - nabłonek dwuwarstwowy sześcienny (gruczoł sutkowy czynny)
Pytanie 527
tkanka łączna włóknista (gruczoł sutkowy czynny)
Pytanie 528
zatoka mleczna - nabłonek dwuwarstwowy sześcienny (gruczoł sutkowy czynny)
Pytanie 529
przewody śródpłacikowe - z nabłonkiem jednowarstwowym sześciennym (gruczoł sutkowy nieczynny)
Pytanie 530
przewód międzypłacikowy - z nabłonkiem jednowarstwowym sześciennym lub walcowatym (gruczoł sutkowy nieczynny)
Pytanie 531
przewód płatowy - z nabłonkiem dwuwarstwowym sześciennym (gruczoł sutkowy nieczynny)
Pytanie 532
tkanka tłuszczowa żółta (gruczoł sutkowy nieczynny)
Pytanie 533
tkanka łączna włóknista (gruczoł sutkowy nieczynny)
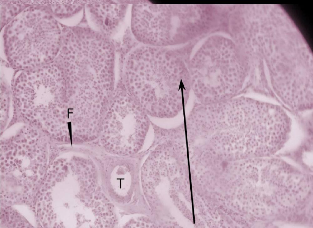
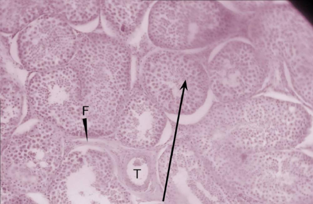
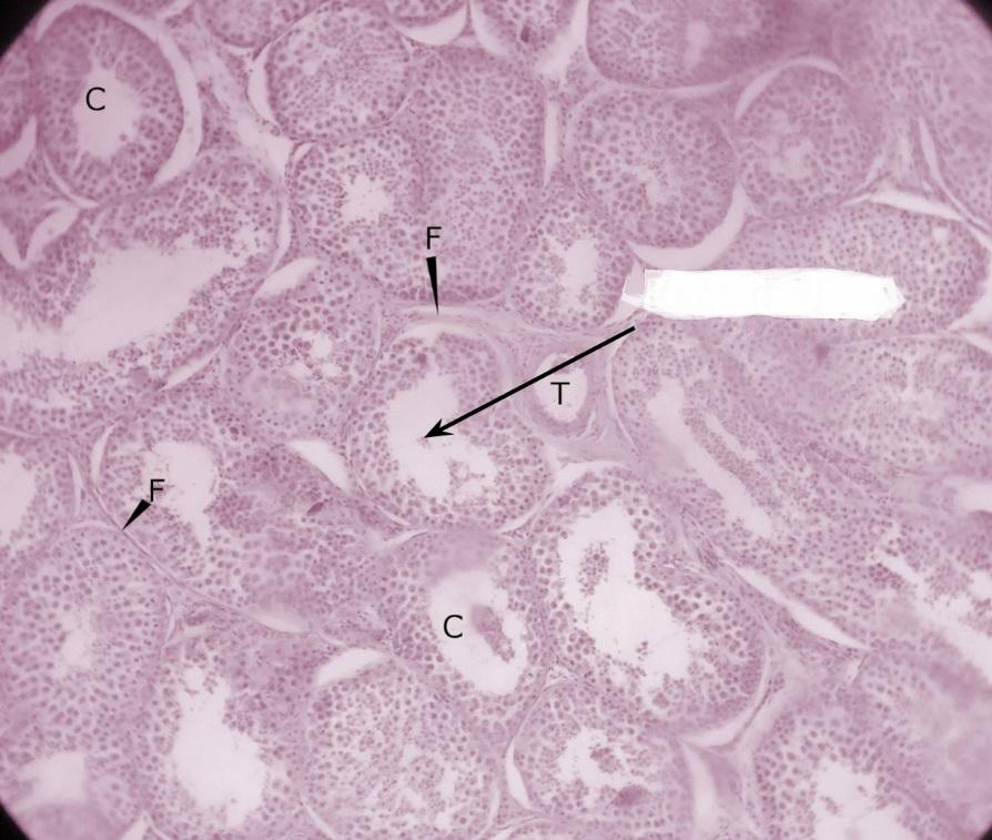
Pytanie 534
kanalik kręty (jądro)
Pytanie 535
tkanka łączna zrębu jądra
Pytanie 536
spermatogonie (jądro)
Pytanie 537
spermatocyty I rzędu (jądro)
Pytanie 538
spermatocyty II rzędu/spermatydy (jądro)
Pytanie 539
plemniki (jądro)
Pytanie 540
komórki Leydiga (jądro)