Pytania i odpowiedzi

Histologia - szkiełka ultimate

Zebrane pytania i odpowiedzi do zestawu. Przygotowanie do szkiełek rocznych pod koniec I roku histologii SUM - wszystkie szczegóły wszystkich preparatów. Test odpalamy w trybie „rozwiąż test” lub „fiszki”; rozwiązujemy go skrolując stronę do momentu ukazania się całego zdjęcia preparatu, później zastanawiamy się, jaki to jest szczegół oraz preparat (nazwy preparatów są podane w nawiasach), następnie skrolujemy odrobinę dalej aby ukazać odpowiedź, która umieszczona jest pod każdym obrazkiem.
Ilość pytań: 733 Rozwiązywany: 47187 razy
Pytanie 501
tętniczka (macica)
Pytanie 502
dwuwarstwowa mięśniówka - warstwa okrężna i podłużna (macica)
Pytanie 503
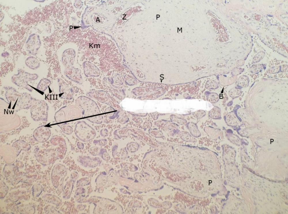
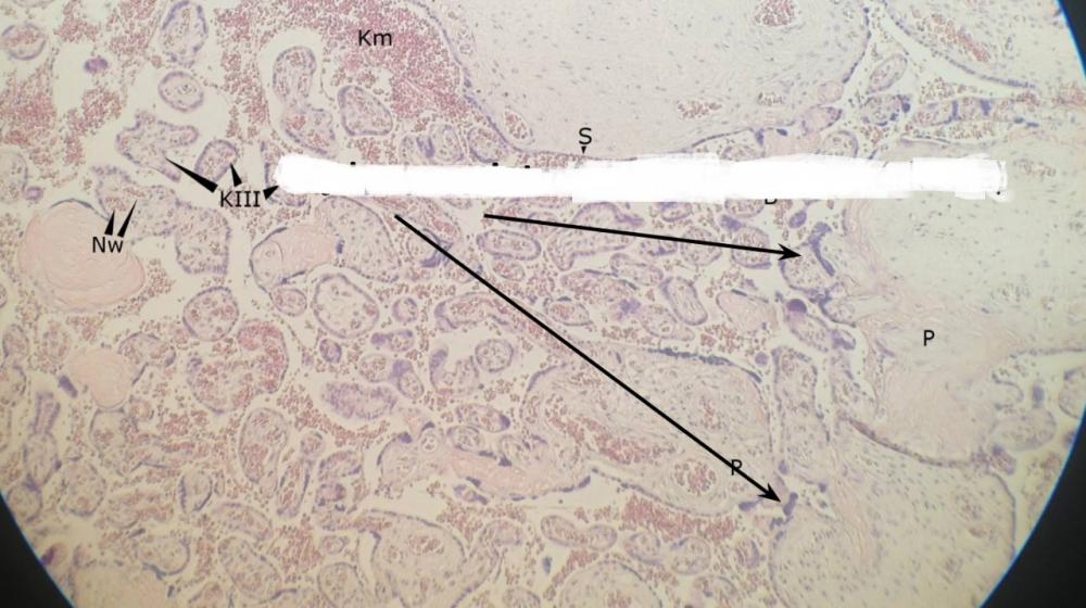
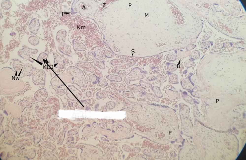
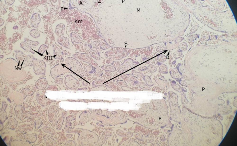
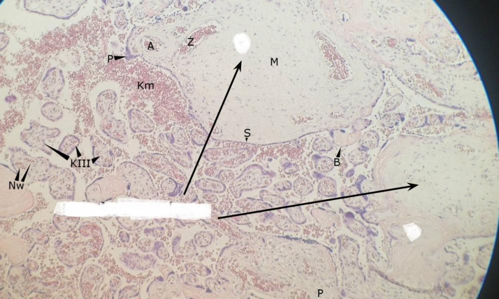
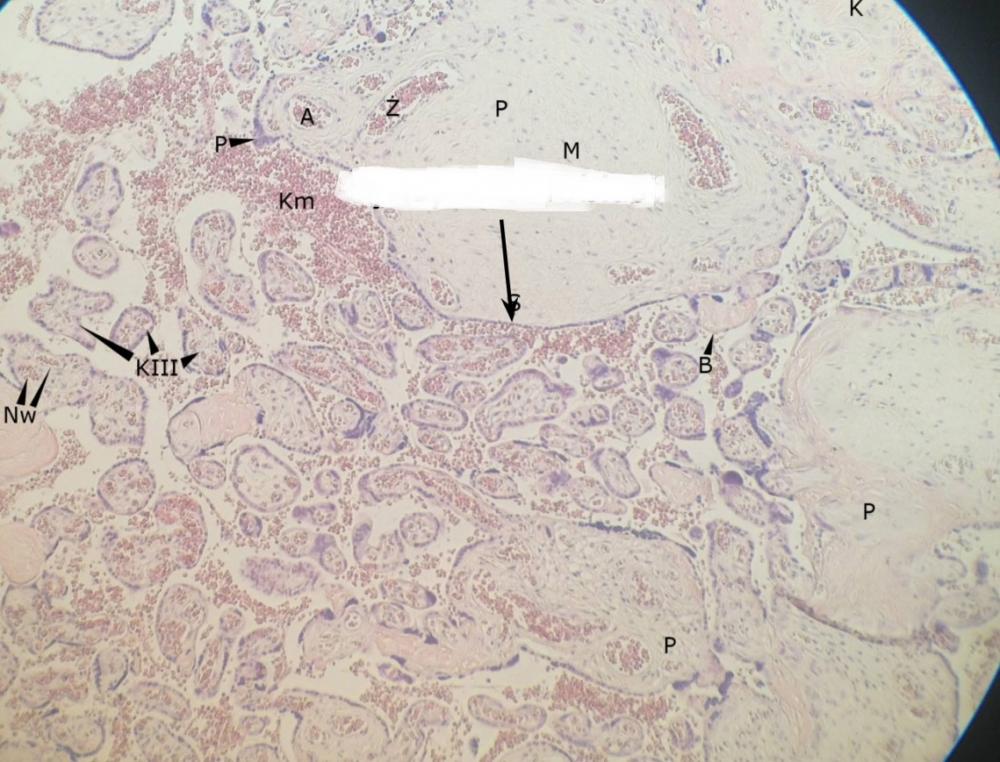
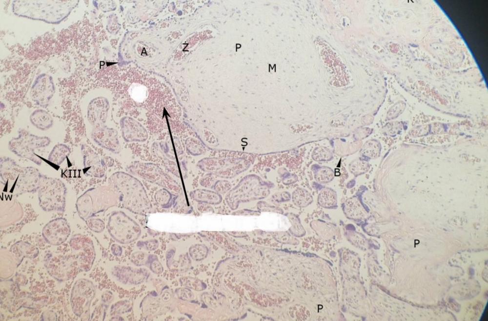
nabłonek owodni - jednowarstwowy sześcienny (łożysko, płyta kosmówkowa)
Pytanie 504
komórki mezodermy pozazarodkowej - cytotrofoblastu (łożysko, płyta kosmówkowa)
Pytanie 505
warstwa bezkomórkowa owodni (łożysko, płyta kosmówkowa)
Pytanie 506
warstwa bezkomórkowa mezodermy pozazarodkowej (łożysko, płyta kosmówkowa)
Pytanie 507
pnie kosmówkowe (łożysko, płyta kosmówkowa)
Pytanie 508
kosmki końcowe (łożysko, płyta kosmówkowa)
Pytanie 509
syncytiotrofoblast (łożysko, płyta kosmówkowa)
Pytanie 510
węzły syncytiotrofoblastu - jądra komórkowe (łożysko, płyta kosmówkowa)
Pytanie 511
płytki nabłonkowo-naczyniowe - cytoplazma bez jąder (łożysko, płyta kosmówkowa)
Pytanie 512
erytrocyty matki (łożysko, płyta kosmówkowa)
Pytanie 513
erytrocyty płodu (łożysko, płyta kosmówkowa)
Pytanie 514
przegroda łożyskowa (łożysko, płyta kosmówkowa)
Pytanie 515
komórki doczesnowe (łożysko, płyta kosmówkowa)
Pytanie 516
komórki kotwiczące (łożysko, płyta kosmówkowa)
Pytanie 517
naczynia włosowate (łożysko, płyta kosmówkowa)
Pytanie 518
nabłonek owodni - jednowarstwowy sześcienny (pępowina)
Pytanie 519
tętnice (pępowina)
Pytanie 520
żyła (pępowina)