Pytania i odpowiedzi

Histologia - szkiełka ultimate

Zebrane pytania i odpowiedzi do zestawu. Przygotowanie do szkiełek rocznych pod koniec I roku histologii SUM - wszystkie szczegóły wszystkich preparatów. Test odpalamy w trybie „rozwiąż test” lub „fiszki”; rozwiązujemy go skrolując stronę do momentu ukazania się całego zdjęcia preparatu, później zastanawiamy się, jaki to jest szczegół oraz preparat (nazwy preparatów są podane w nawiasach), następnie skrolujemy odrobinę dalej aby ukazać odpowiedź, która umieszczona jest pod każdym obrazkiem.
Ilość pytań: 733 Rozwiązywany: 47187 razy
Pytanie 441
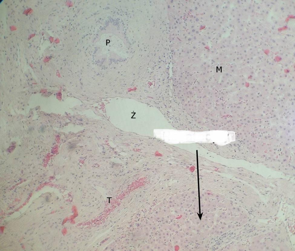
żyła centralna (wątroba świni)
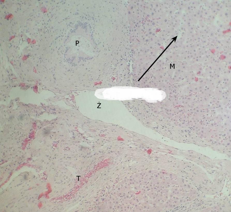
Pytanie 442
żyła podzrazikowa (wątroba świni)
Pytanie 443
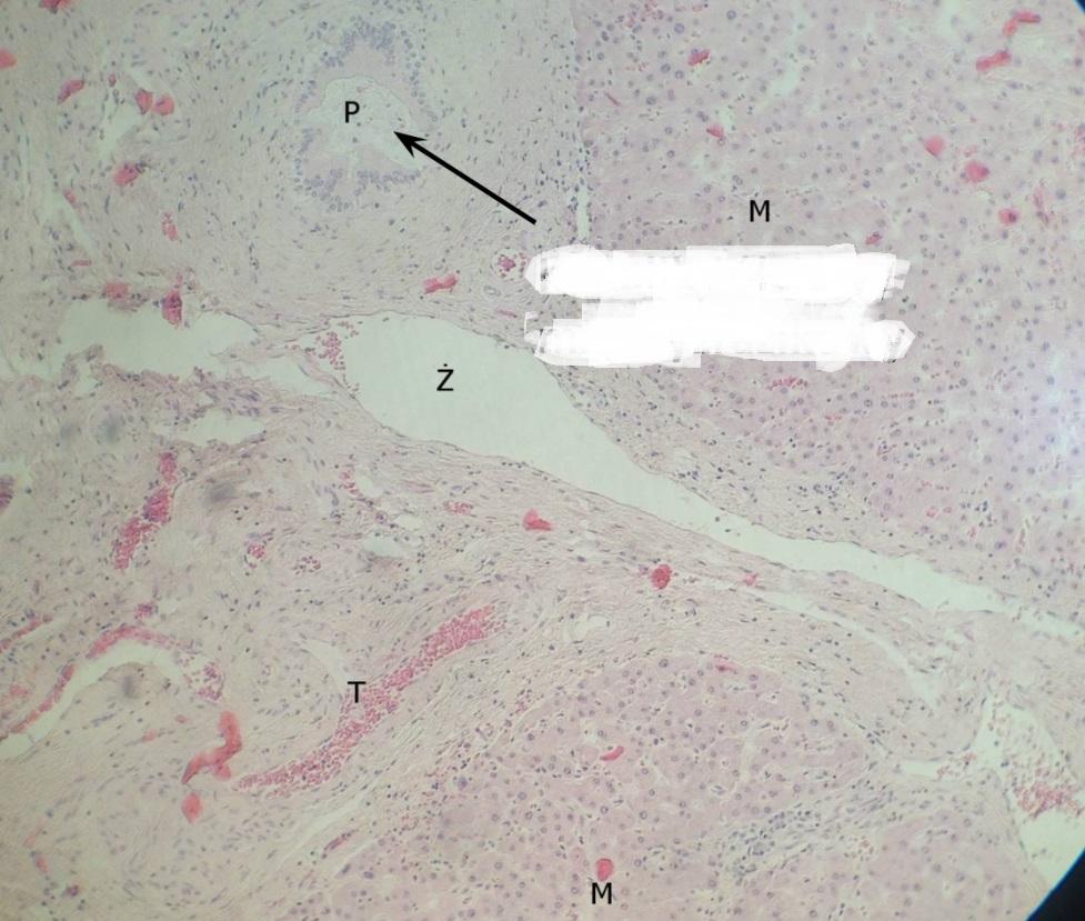
lokalizacja triad (wątroba świni)
Pytanie 444
żyła międzyzrazikowa - największa z triady (wątroba świni, triada)
Pytanie 445
tętnica międzyzrazikowa - widać wyraźnie mięśniówkę (wątroba świni, triada)
Pytanie 446
kanalik żółciowy międzyzrazikowy - wygląda, jak pętla korali (wątroba świni, triada)
Pytanie 447
sinusoidy - biała przestrzeń (wątroba świni)
Pytanie 448
hepatocyty (wątroba świni)
Pytanie 449
tkanka łączna (wątroba świni)
Pytanie 450
żyła (jajnik, rdzeń)
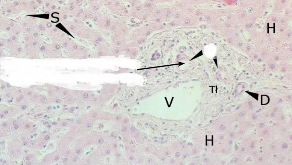
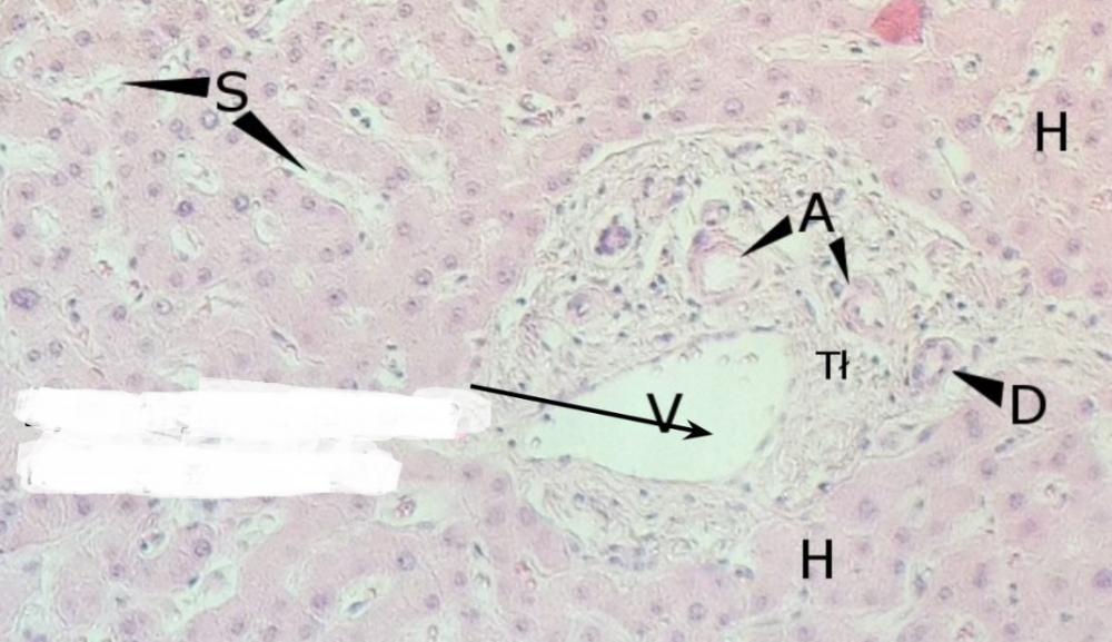
Pytanie 451
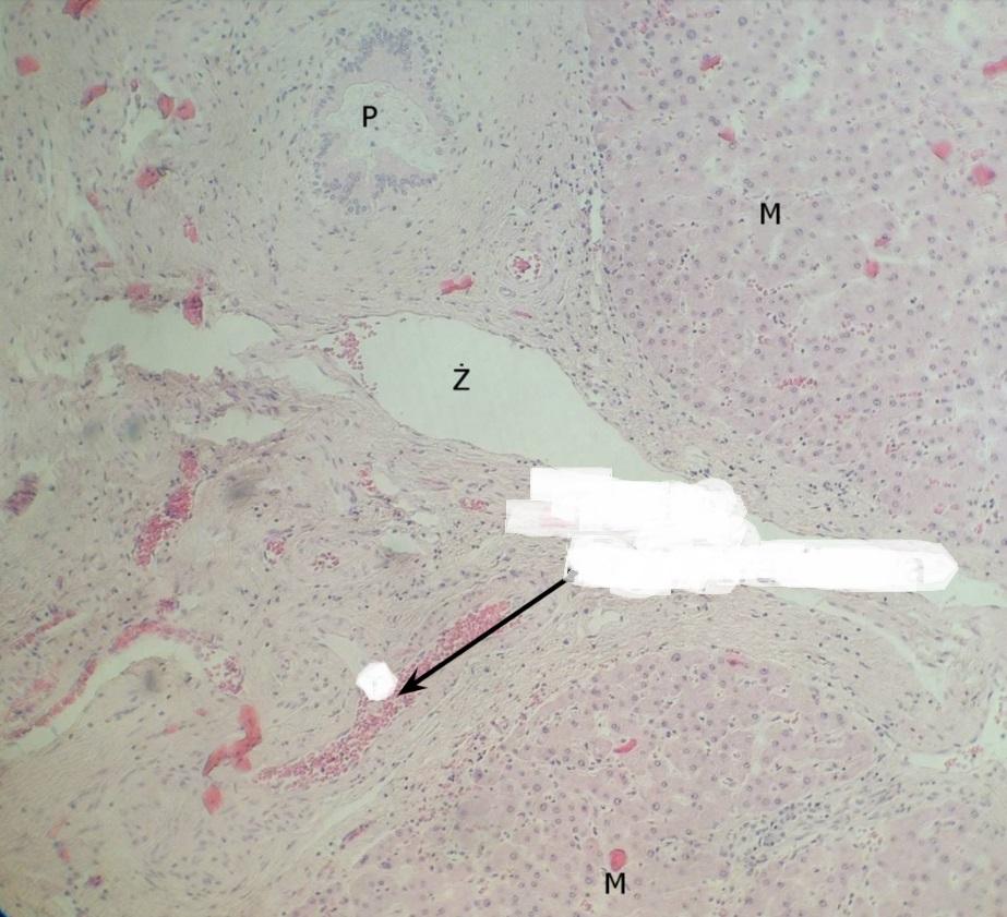
żyła międzyzrazikowa (wątroba ludzka)
Pytanie 452
tętnica międzyzrazikowa (wątroba ludzka)
Pytanie 453
hepatocyty (wątroba ludzka)
Pytanie 454
kanalik żółciowy międzyzrazikowy (wątroba ludzka)
Pytanie 455
sinusoidy (wątroba ludzka)
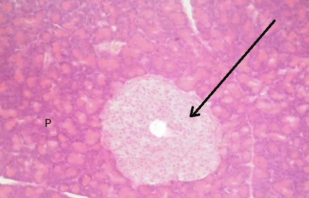
Pytanie 456
wyspa Langerhansa (trzustka)
Pytanie 457
ściana kanalika krętego (jądro)
Pytanie 458
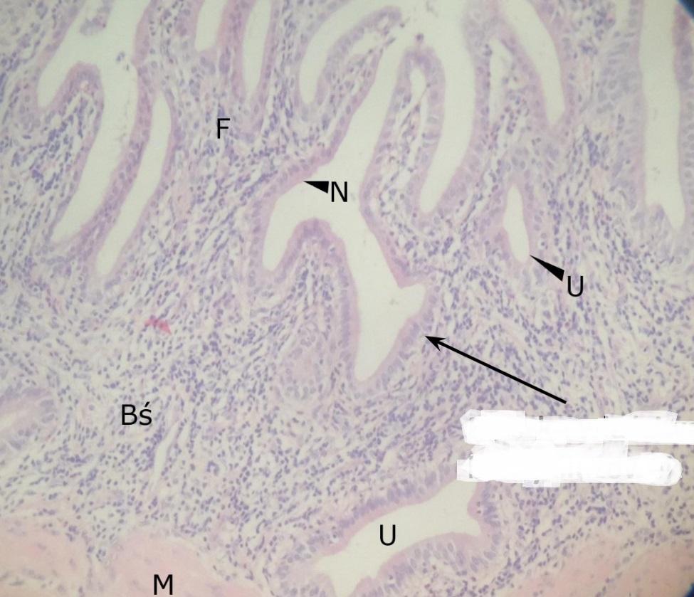
nabłonek jednowarstwowy walcowaty (pęcherzyk żółciowy)
Pytanie 459
uchyłek błony śluzowej (pęcherzyk żółciowy)
Pytanie 460
blaszka właściwa błony śluzowej - brak jest błony podśluzowej! (pęcherzyk żółciowy)