Pytania i odpowiedzi

Histologia - szkiełka ultimate

Zebrane pytania i odpowiedzi do zestawu. Przygotowanie do szkiełek rocznych pod koniec I roku histologii SUM - wszystkie szczegóły wszystkich preparatów. Test odpalamy w trybie „rozwiąż test” lub „fiszki”; rozwiązujemy go skrolując stronę do momentu ukazania się całego zdjęcia preparatu, później zastanawiamy się, jaki to jest szczegół oraz preparat (nazwy preparatów są podane w nawiasach), następnie skrolujemy odrobinę dalej aby ukazać odpowiedź, która umieszczona jest pod każdym obrazkiem.
Ilość pytań: 733 Rozwiązywany: 47187 razy
Pytanie 421
błona surowicza (jelito cienkie, czcze)
Pytanie 422
splot Meissnera (jelito cienkie, czcze)
Pytanie 423
błona śluzowa (jelito cienkie, czcze)
Pytanie 424
tętniczka - w błonie podśluzowej (jelito cienkie, czcze)
Pytanie 425
dno krypty (jelito cienkie, czcze)
Pytanie 426
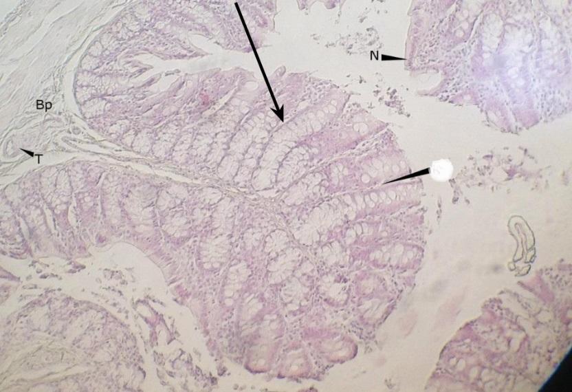
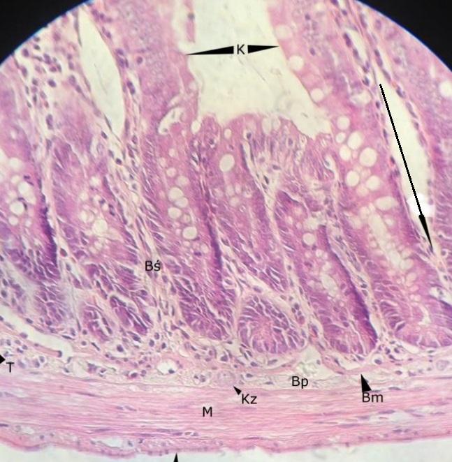
nabłonek jednowarstwowy walcowaty, a w nim widoczne liczne jasne komórki kubkowe (jelito grube)
Pytanie 427
krypta (jelito grube)
Pytanie 428
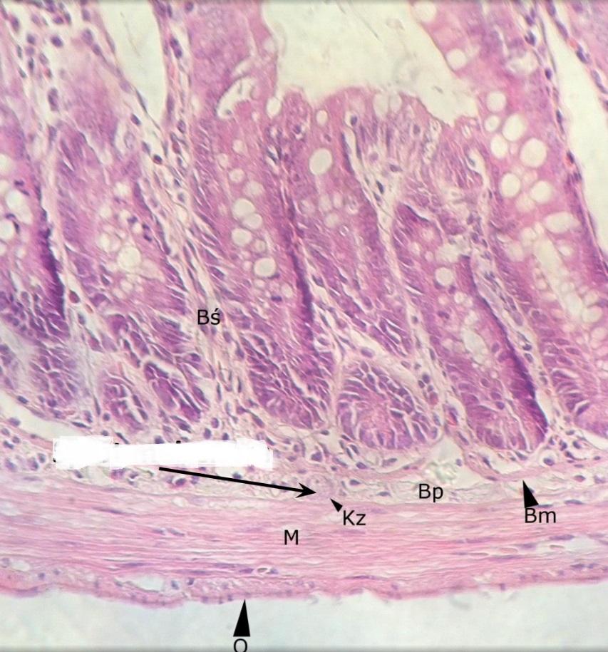
błona podśluzowa (jelito grube)
Pytanie 429
blaszka mięśniowa błony śluzowej (jelito grube)
Pytanie 430
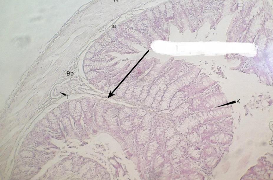
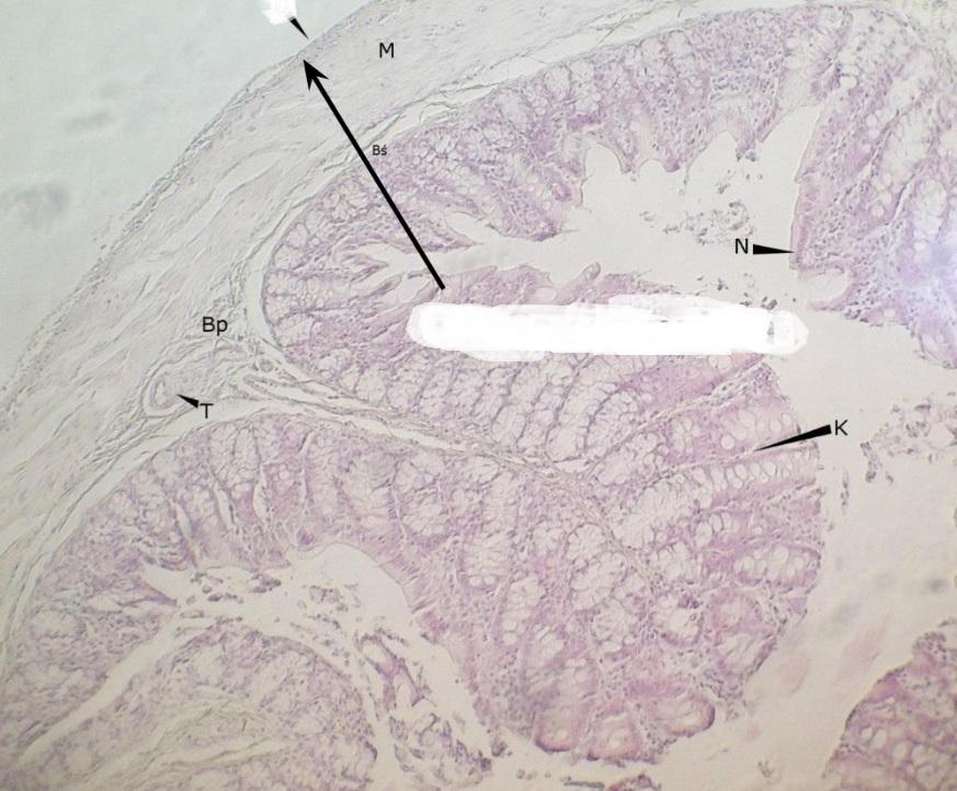
błona surowicza (jelito grube)
Pytanie 431
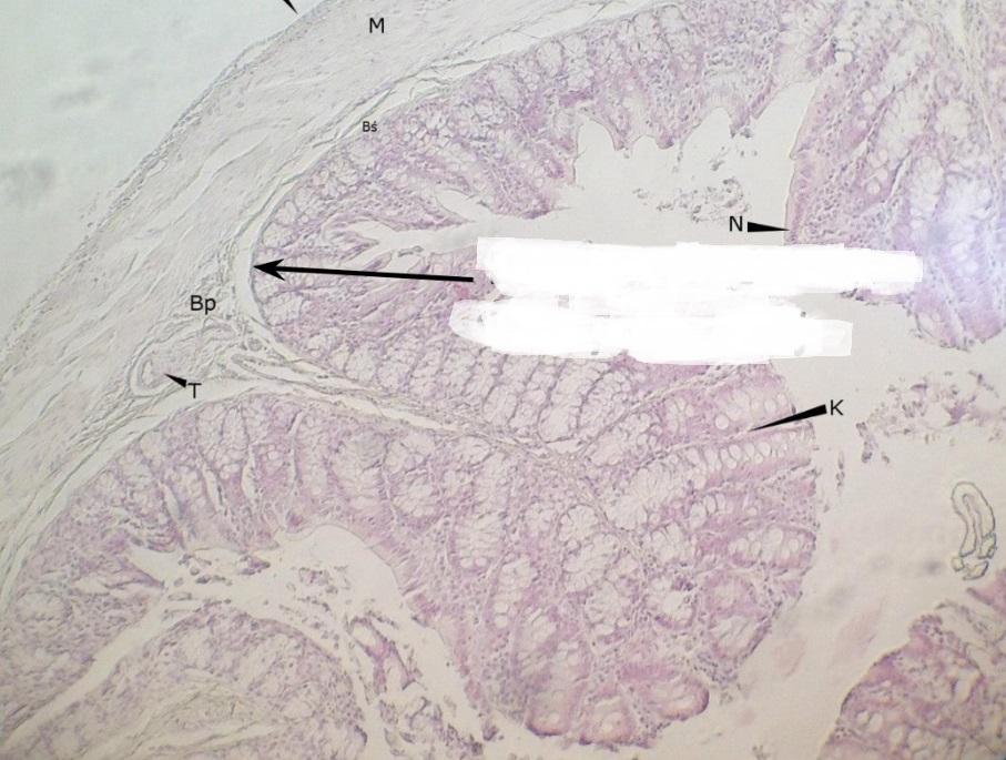
mięśniówka gładka, wewnętrzna warstwa - okrężna i zewnętrzna - podłużna, która jest nieciągła i tworzy taśmy okrężnicy (jelito grube)
Pytanie 432
taśma okrężnicy (jelito grube)
Pytanie 433
nabłonek jednowarstwowy walcowaty (wyrostek robaczkowy)
Pytanie 434
krypty (wyrostek robaczkowy)
Pytanie 435
komórki kubkowe - małe przejaśnienia (wyrostek robaczkowy)
Pytanie 436
nabłonek limfoidalny (wyrostek robaczkowy)
Pytanie 437
grudka chłonna (wyrostek robaczkowy)
Pytanie 438
zatoka limfatyczna (wyrostek robaczkowy)
Pytanie 439
błona śluzowa (wyrostek robaczkowy)
Pytanie 440
nabłonek sześcienny - płciowy (jajnik, ciałko żółte)