Pytania i odpowiedzi

Histologia - szkiełka ultimate

Zebrane pytania i odpowiedzi do zestawu. Przygotowanie do szkiełek rocznych pod koniec I roku histologii SUM - wszystkie szczegóły wszystkich preparatów. Test odpalamy w trybie „rozwiąż test” lub „fiszki”; rozwiązujemy go skrolując stronę do momentu ukazania się całego zdjęcia preparatu, później zastanawiamy się, jaki to jest szczegół oraz preparat (nazwy preparatów są podane w nawiasach), następnie skrolujemy odrobinę dalej aby ukazać odpowiedź, która umieszczona jest pod każdym obrazkiem.
Ilość pytań: 733 Rozwiązywany: 47187 razy
Pytanie 461
warstwa miocytów gładkich o różnym przebiegu (pęcherzyk żółciowy)
Pytanie 462
wyspa Langerhansa (trzustka)
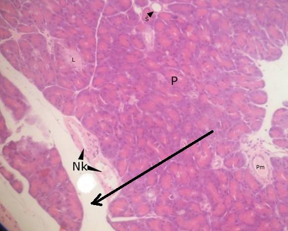
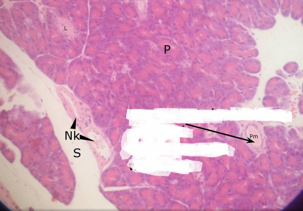
Pytanie 463
pęcherzyk surowiczy (trzustka)
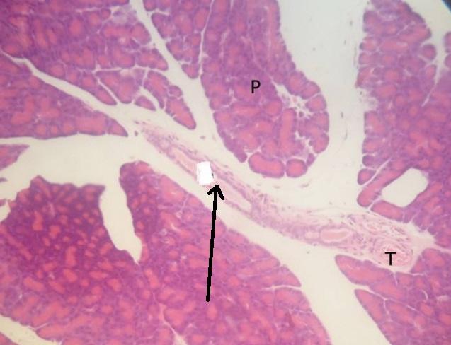
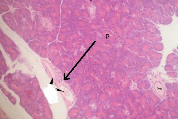
Pytanie 464
przewody śródpłacikowe - wstawki z nabłonkiem jednowarstwowym walcowatym (trzustka)
Pytanie 465
przewód międzypłacikowy z nabłonkiem jednowarstwowym walcowatym (trzustka)
Pytanie 466
przewód międzypłacikowy - z tkanką łączną dookoła (trzustka)
Pytanie 467
naczynia krwionośne (trzustka)
Pytanie 468
przegroda międzyzrazikowa (trzustka)
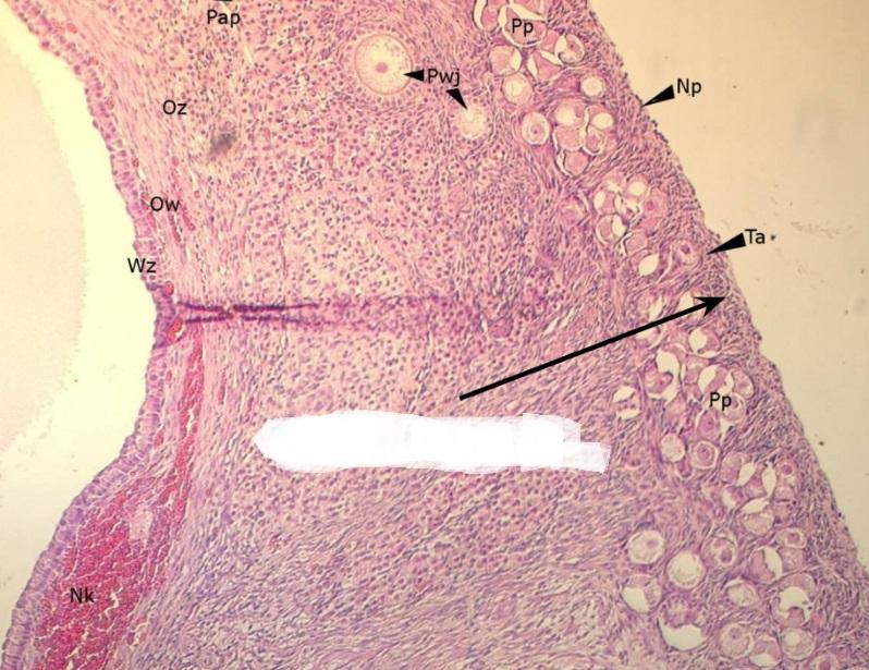
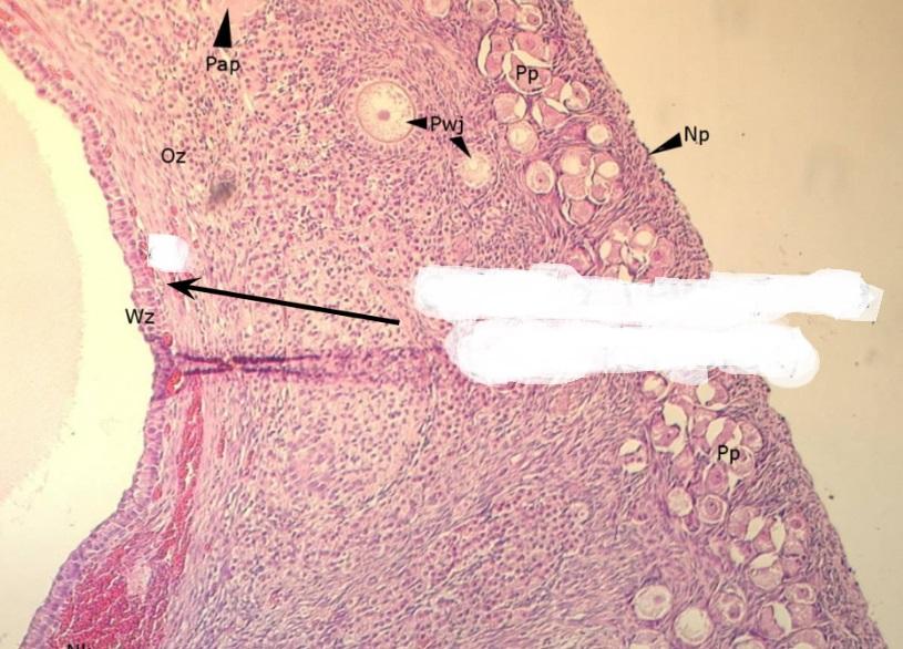
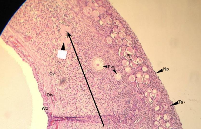
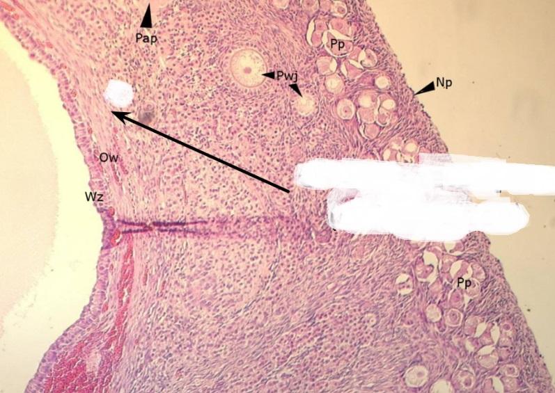
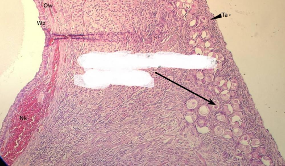
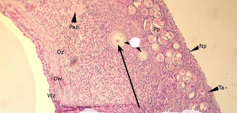
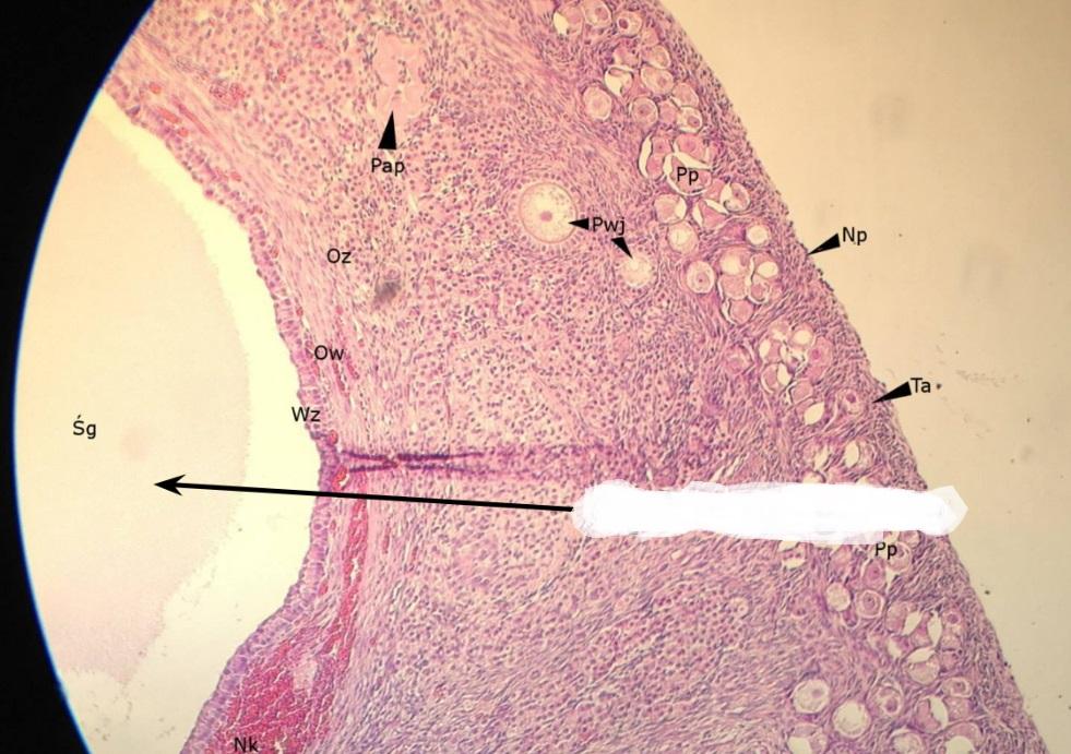
Pytanie 469
nabłonek sześcienny - płciowy (jajnik, kora)
Pytanie 470
pęcherzyk jajnikowy pierwotny (jajnik, kora)
Pytanie 471
pęcherzyk wzrastający bezjamisty (jajnik, kora)
Pytanie 472
pęcherzyki dojrzewające jamiste (jajnik, kora)
Pytanie 473
pęcherzyk Graafa (jajnik, kora)
Pytanie 474
pęcherzyk atrezyjny (jajnik, kora)
Pytanie 475
błona biaława (jajnik, kora)
Pytanie 476
gruczoły śródmiąższowe (jajnik, kora)
Pytanie 477
warstwa ziarnista pęcherzyka (jajnik, kora)
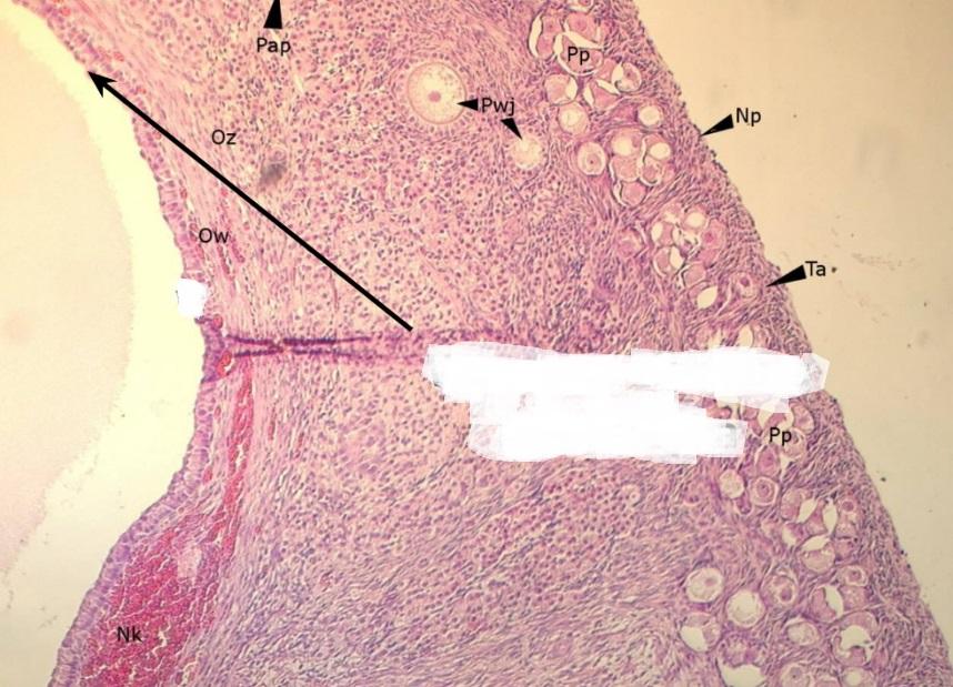
Pytanie 478
osłonka wewnętrzna - obfita w komórki (jajnik, kora)
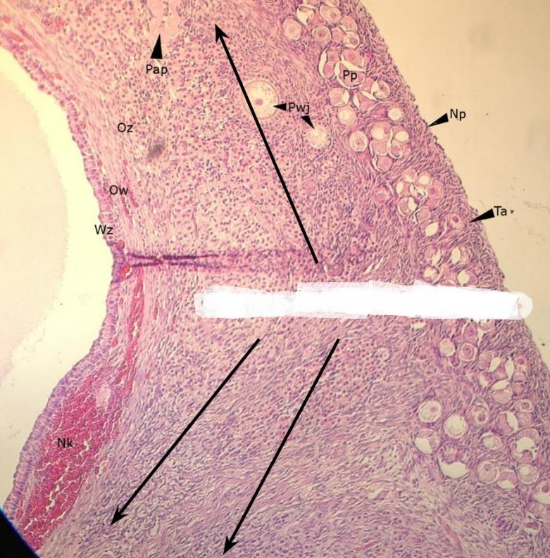
Pytanie 479
osłonka zewnętrzna - z dużą ilością włókien (jajnik, kora)
Pytanie 480
pęcherzyk atrezyjny (jajnik, kora)