Pytania i odpowiedzi

Histologia - szkiełka ultimate

Zebrane pytania i odpowiedzi do zestawu. Przygotowanie do szkiełek rocznych pod koniec I roku histologii SUM - wszystkie szczegóły wszystkich preparatów. Test odpalamy w trybie „rozwiąż test” lub „fiszki”; rozwiązujemy go skrolując stronę do momentu ukazania się całego zdjęcia preparatu, później zastanawiamy się, jaki to jest szczegół oraz preparat (nazwy preparatów są podane w nawiasach), następnie skrolujemy odrobinę dalej aby ukazać odpowiedź, która umieszczona jest pod każdym obrazkiem.
Ilość pytań: 733 Rozwiązywany: 47187 razy
Pytanie 401
błona podśluzowa (dno i trzon żołądka)
Pytanie 402
trójwarstwowa błona mięśniowa (dno i trzon żołądka)
Pytanie 403
grudka chłonna (dno i trzon żołądka)
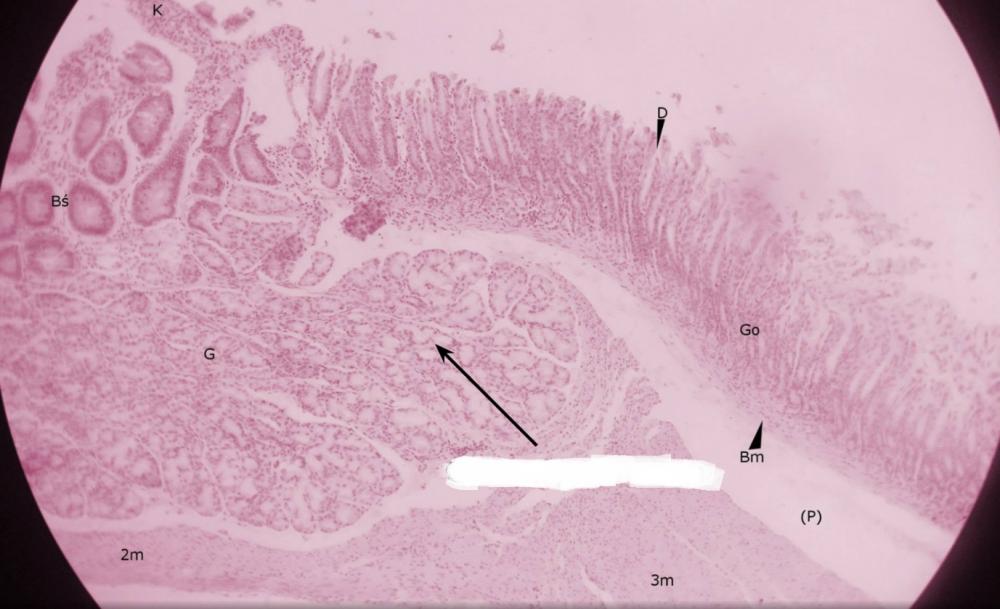
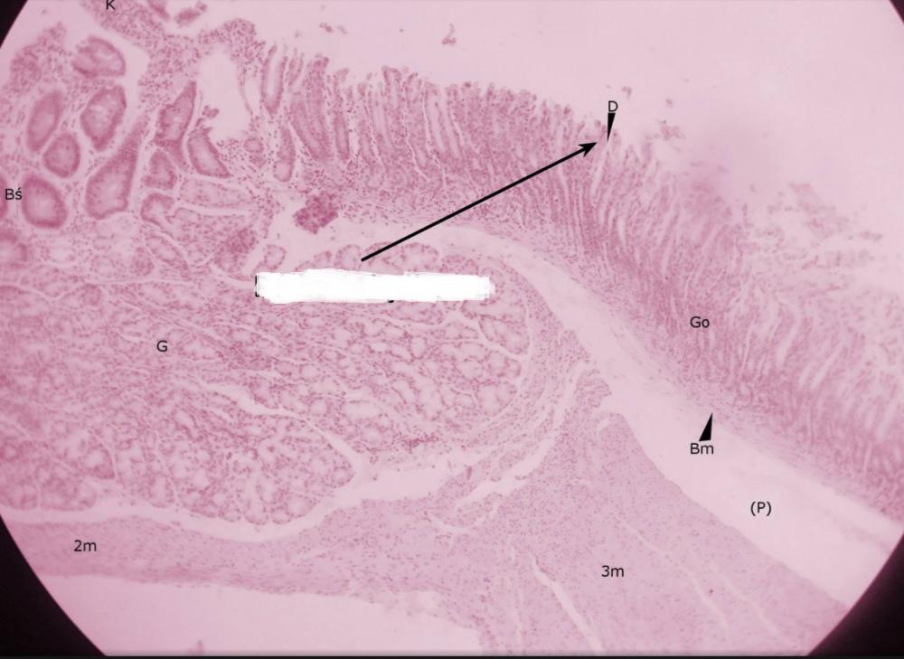
Pytanie 404
dołki żołądkowe (przejście żołądka w dwunastnicę)
Pytanie 405
pólka żołądkowe (przejście żołądka w dwunastnicę)
Pytanie 406
rozgałęzione gruczoły cewkowe - odźwiernikowe (przejście żołądka w dwunastnicę)
Pytanie 407
kosmek jelitowy (przejście żołądka w dwunastnicę)
Pytanie 408
krypta jelitowa (przejście żołądka w dwunastnicę)
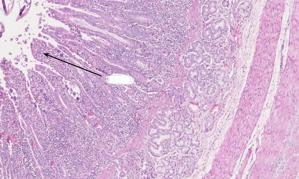
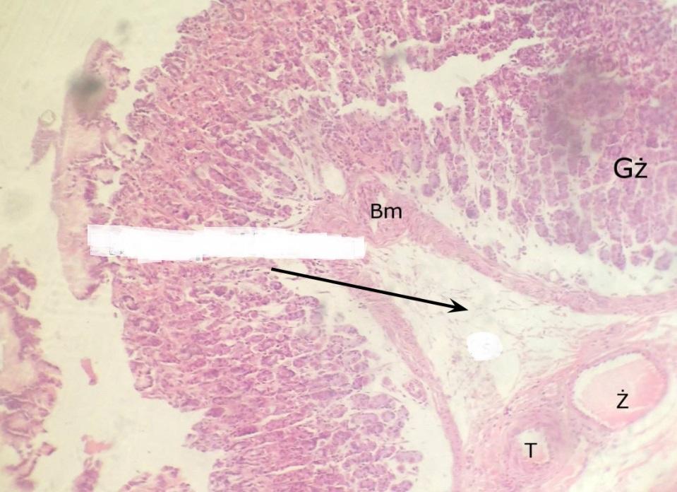
Pytanie 409
gruczoły Brunnera (przejście żołądka w dwunastnicę)
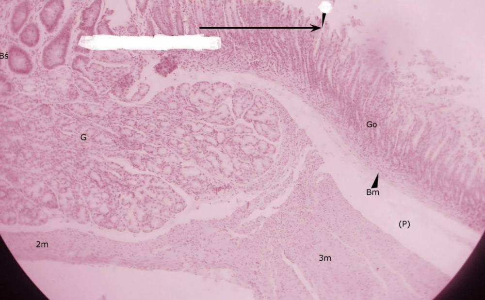
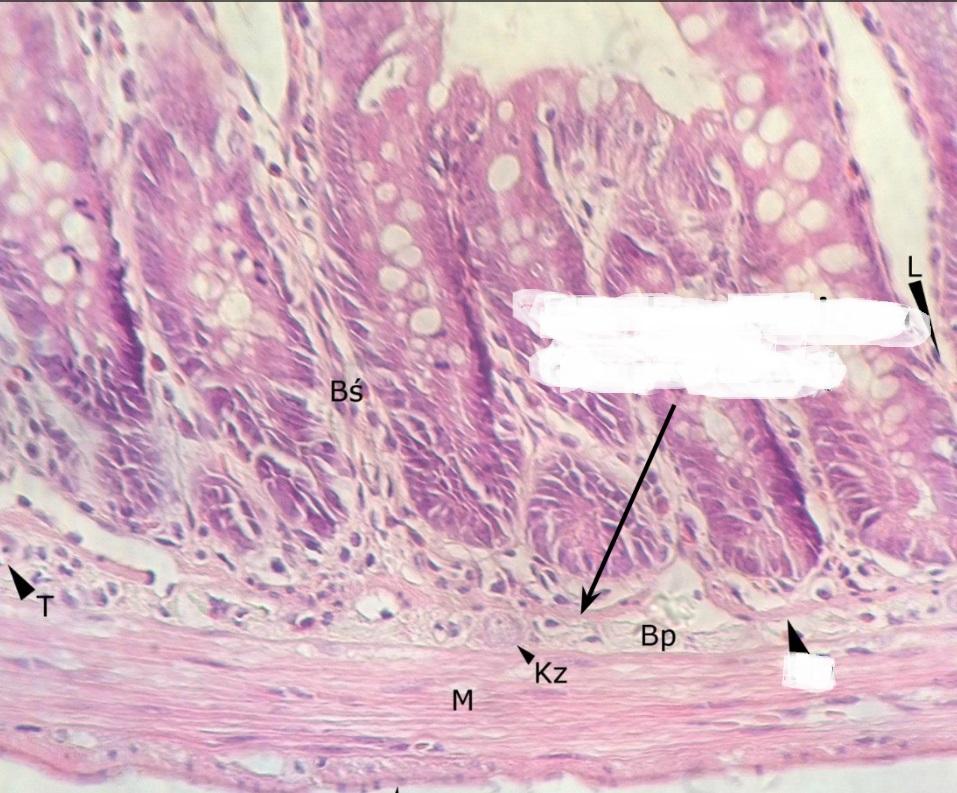
Pytanie 410
błona mięśniowa, składająca się z warstwy okrężnej o podłużnej (przejście żołądka w dwunastnicę)
Pytanie 411
miejsce po błonie podśluzowej (przejście żołądka w dwunastnicę)
Pytanie 412
blaszka mięśniowa błony śluzowej (przejście żołądka w dwunastnicę)
Pytanie 413
gruba, trójwarstwowa mięśniówka żołądka (przejście żołądka w dwunastnicę)
Pytanie 414
kosmek jelitowy (dwunastnica)
Pytanie 415
enterocyt (jelito cienkie, czcze)
Pytanie 416
komórka kubkowa (jelito cienkie, czcze)
Pytanie 417
krypta jelitowa (jelito cienkie, czcze)
Pytanie 418
blaszka mięśniowa błony śluzowej (jelito cienkie, czcze)
Pytanie 419
błona podśluzowa (jelito cienkie, czcze)
Pytanie 420
mięśnie gładkie - warstwa okrężna i podłużna (jelito cienkie, czcze)