Pytania i odpowiedzi

Histologia - szkiełka ultimate

Zebrane pytania i odpowiedzi do zestawu. Przygotowanie do szkiełek rocznych pod koniec I roku histologii SUM - wszystkie szczegóły wszystkich preparatów. Test odpalamy w trybie „rozwiąż test” lub „fiszki”; rozwiązujemy go skrolując stronę do momentu ukazania się całego zdjęcia preparatu, później zastanawiamy się, jaki to jest szczegół oraz preparat (nazwy preparatów są podane w nawiasach), następnie skrolujemy odrobinę dalej aby ukazać odpowiedź, która umieszczona jest pod każdym obrazkiem.
Ilość pytań: 733 Rozwiązywany: 47187 razy
Pytanie 381
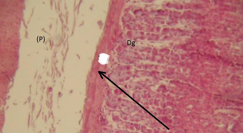
błona surowicza (przełyk)
Pytanie 382
warstwa podstawna nabłonka (przełyk)
Pytanie 383
błona mięśniowa przełyku (przejście przełyku w żołądek)
Pytanie 384
fałd błony śluzowej (przejście przełyku w żołądek)
Pytanie 385
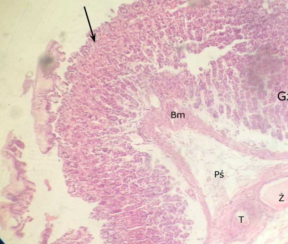
gruczoły wpustowe (przejście przełyku w żołądek)
Pytanie 386
komórki śluzowe (przejście przełyku w żołądek)
Pytanie 387
nabłonek wielowarstwowy płaski rogowaciejący (przejście przełyku w żołądek)
Pytanie 388
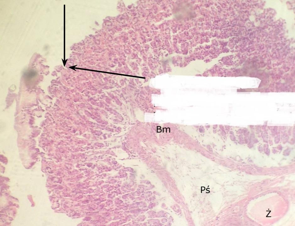
blaszka mięśniowa błony śluzowej (przejście przełyku w żołądek)
Pytanie 389
błona śluzowa (przejście przełyku w żołądek)
Pytanie 390
nabłonek jednowarstwowy walcowaty (dno i trzon żołądka)
Pytanie 391
strzałka pionowa - dołek żołądkowy, strzałka pozioma - pólko żolądkowe, czyli powierzchnia obejmująca dołek i otaczające go komórki nabłonka (dno i trzon żołądka)
Pytanie 392
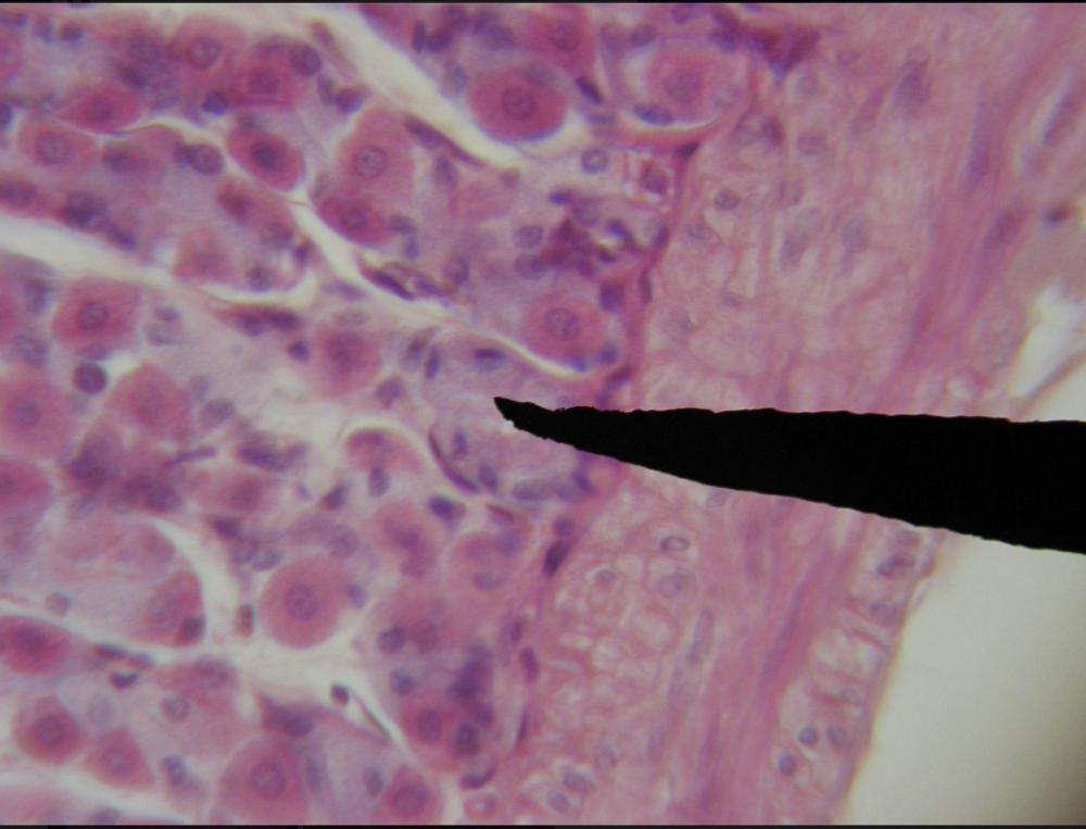
komóka główna - bardziej fioletowa, występuje na dnie gruczołów, jej kolor może być opisywany, jako szaro-niebieski (dno i trzon żołądka)
Pytanie 393
komórka okładzinowa - okrągła, intensywnie różowa (dno i trzon żołądka)
Pytanie 394
komórka główna - znajdująca się w dnie i szyjce gruczołów cewkowych (dno i trzon żołądka)
Pytanie 395
komórka okładzinowa - występuje w szyjce gruczołów (dno i trzon żołądka)
Pytanie 396
blaszka mięśniowa błony śluzowej (dno i trzon żołądka)
Pytanie 397
trójwarstwowa błona mięśniowa (dno i trzon żołądka)
Pytanie 398
pozostałość po błonie podśluzowej (dno i trzon żołądka)
Pytanie 399
dołek żołądkowy (dno i trzon żołądka)
Pytanie 400
blaszka mięśniowa błony śluzowej (dno i trzon żołądka)