Pytania i odpowiedzi

Histologia - szkiełka ultimate

Zebrane pytania i odpowiedzi do zestawu. Przygotowanie do szkiełek rocznych pod koniec I roku histologii SUM - wszystkie szczegóły wszystkich preparatów. Test odpalamy w trybie „rozwiąż test” lub „fiszki”; rozwiązujemy go skrolując stronę do momentu ukazania się całego zdjęcia preparatu, później zastanawiamy się, jaki to jest szczegół oraz preparat (nazwy preparatów są podane w nawiasach), następnie skrolujemy odrobinę dalej aby ukazać odpowiedź, która umieszczona jest pod każdym obrazkiem.
Ilość pytań: 733 Rozwiązywany: 47187 razy
Pytanie 361
chrząstka szklista (preparat rozwojowy z głowy szczura, okolice zawiązka mózgu)
Pytanie 362
kanały półkoliste (preparat rozwojowy z głowy szczura, okolice ucha wewnętrznego)
Pytanie 363
ślimak - te kilka jam (preparat rozwojowy z głowy szczura, okolice ucha wewnętrznego)
Pytanie 364
chrząstka szklista (preparat rozwojowy z głowy szczura, okolice ucha wewnętrznego)
Pytanie 365
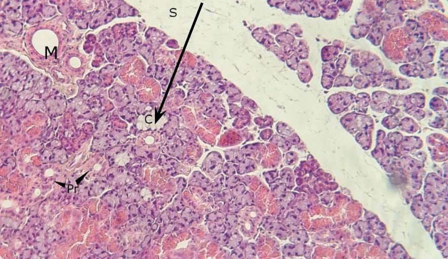
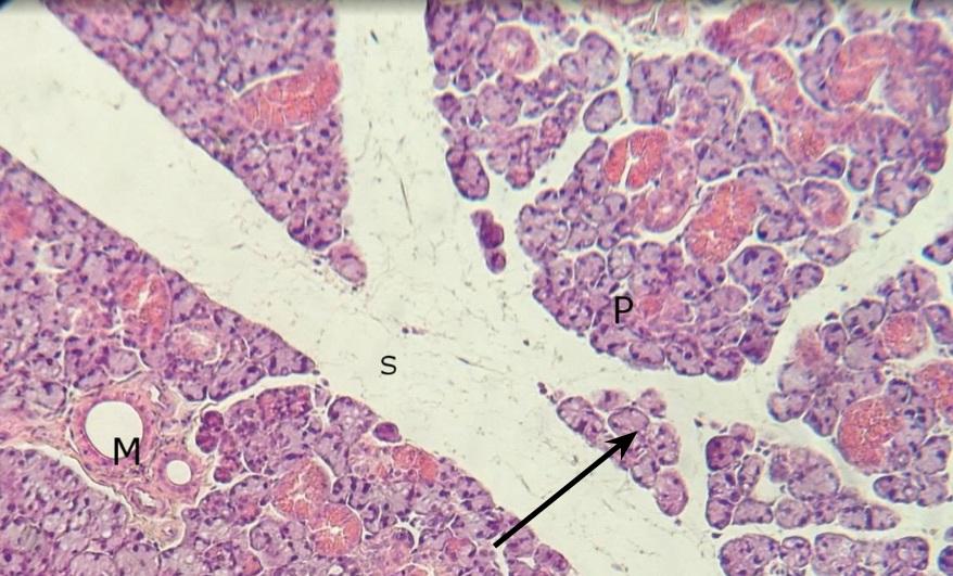
pęcherzyki wydzielnicze (ślinianka przyuszna)
Pytanie 366
przewody prążkowane (ślinianka przyuszna)
Pytanie 367
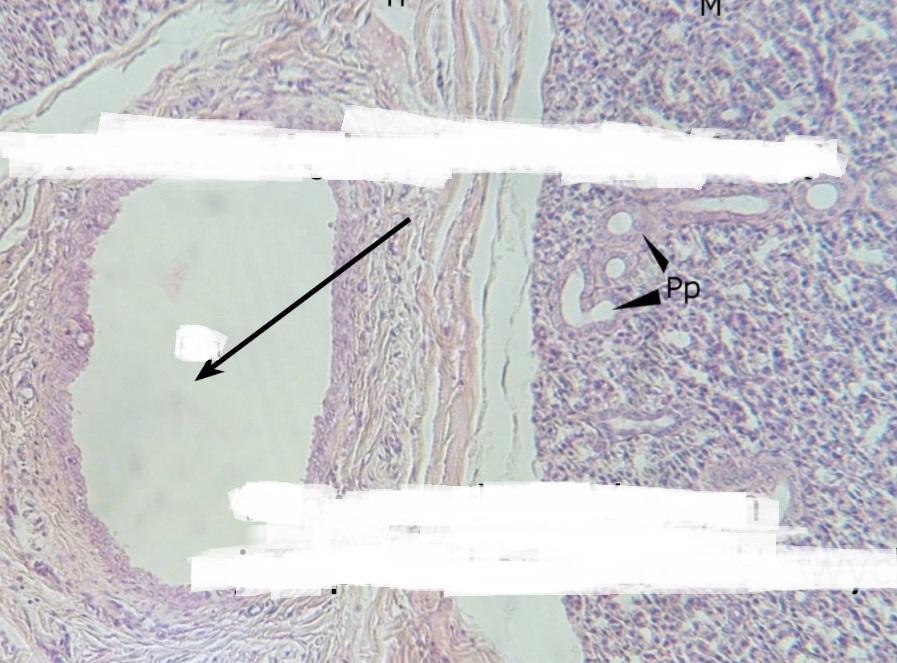
przewód międzypłacikowy/główny - zawiera mnóstwo komórek kubkowych (ślinianka przyuszna)
Pytanie 368
wstawka - mały kanalik zbudowany z ciemnych komórek (ślinianka przyuszna)
Pytanie 369
cewka śluzowa (ślinianka podjęzykowa)
Pytanie 370
pęcherzyki surowicze (ślinianka podżuchwowa)
Pytanie 371
przewód prążkowany (ślinianka podżuchwowa)
Pytanie 372
przewód międzypłacikowy (ślinianka podżuchwowa)
Pytanie 373
przewód prążkowany (ślinianka podżuchwowa)
Pytanie 374
cewka śluzowa (ślinianka podżuchwowa)
Pytanie 375
pęcherzyk surowiczy (ślinianka podżuchwowa)
Pytanie 376
nabłonek wielowarstwowy płaski rogowaciejący (przełyk)
Pytanie 377
blaszka mięśniowa błony śluzowej (przełyk)
Pytanie 378
błona podśluzowa (przełyk)
Pytanie 379
mięśnie gładkie - warstwa podłużna (przełyk)
Pytanie 380
mięśnie gładkie - warstwa okrężna (przełyk)