Pytania i odpowiedzi

Histologia - szkiełka ultimate

Zebrane pytania i odpowiedzi do zestawu. Przygotowanie do szkiełek rocznych pod koniec I roku histologii SUM - wszystkie szczegóły wszystkich preparatów. Test odpalamy w trybie „rozwiąż test” lub „fiszki”; rozwiązujemy go skrolując stronę do momentu ukazania się całego zdjęcia preparatu, później zastanawiamy się, jaki to jest szczegół oraz preparat (nazwy preparatów są podane w nawiasach), następnie skrolujemy odrobinę dalej aby ukazać odpowiedź, która umieszczona jest pod każdym obrazkiem.
Ilość pytań: 733 Rozwiązywany: 47186 razy
Pytanie 281
pęcherzyk płucny (płuco)
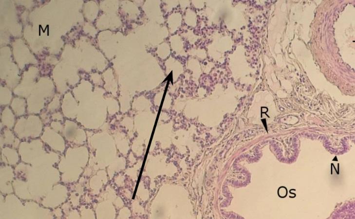
Pytanie 282
przegroda łącznotkankowa (płuco)
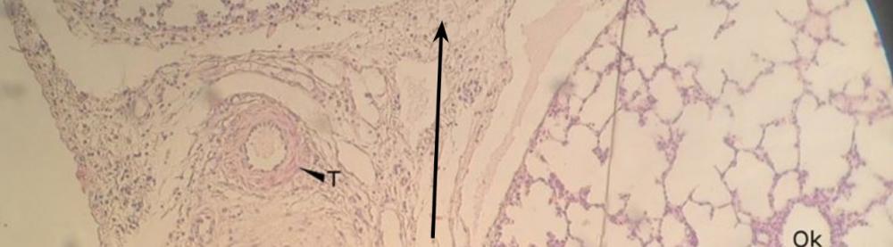
Pytanie 283
oskrzelik końcowy (płuco)
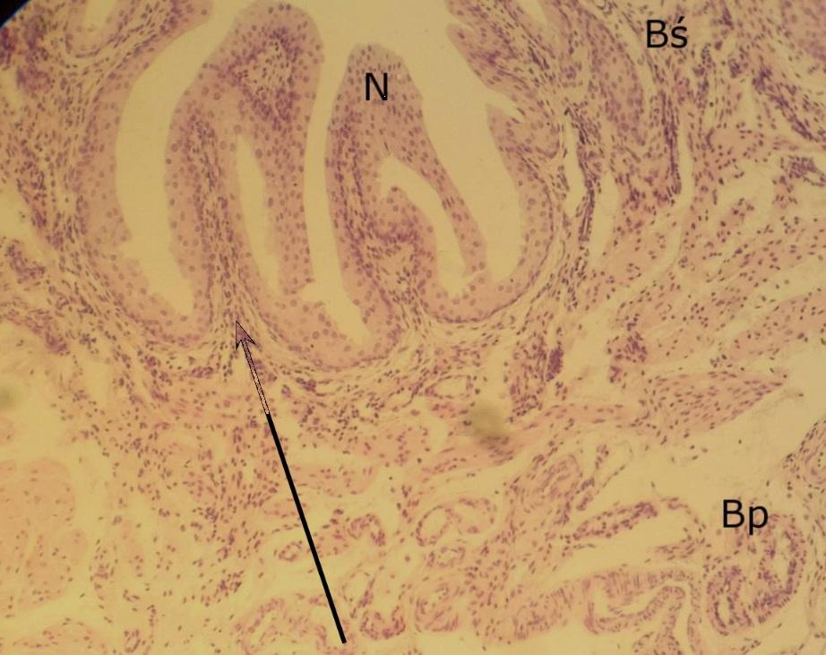
Pytanie 284
oskrzelik oddechowy (płuco)
Pytanie 285
przewód pęcherzykowy (płuco)
Pytanie 286
woreczek pęcherzykowy (płuco)
Pytanie 287
po lewej - tętnica typu sprężystego - płucna - czynnościowa, po prawej - tętnica typu mięśniowego - oskrzelowa - odżywcza (płuco, barwienie fuksyną paraaldehydową i eozyną)
Pytanie 288
blaszka właściwa błony śluzowej (pęcherz moczowy)
Pytanie 289
mięśnie gładkie (pęcherz moczowy)
Pytanie 290
przydanka (pęcherz moczowy)
Pytanie 291
torebka łącznotkankowa (nerka)
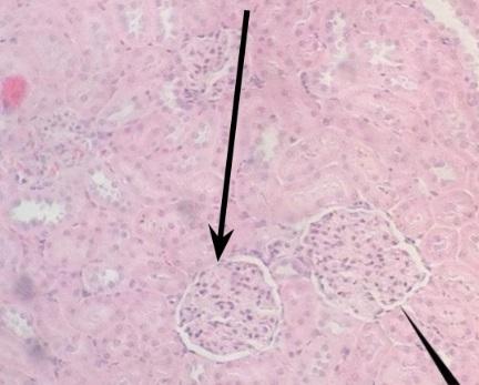
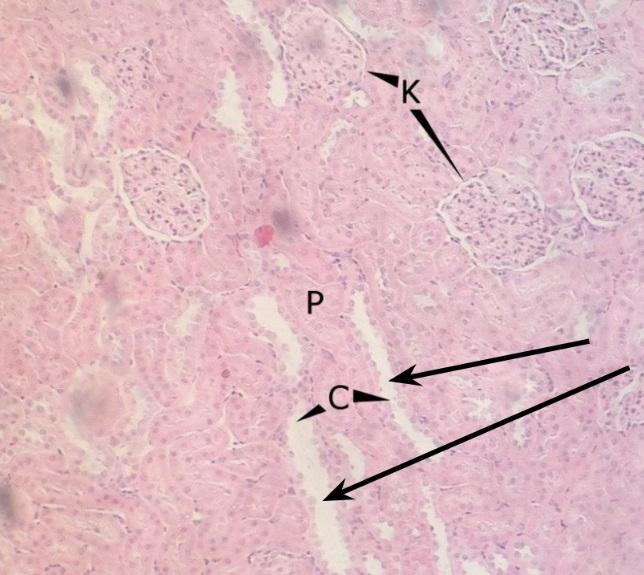
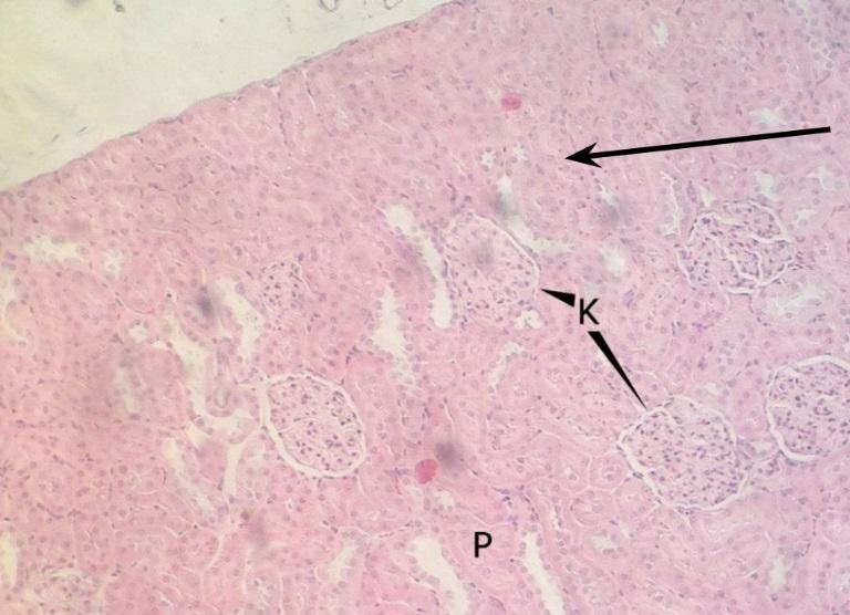
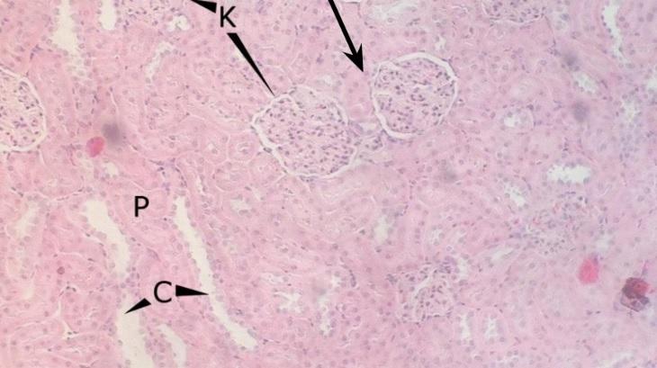
Pytanie 292
kłębuszek nerkowy
Pytanie 293
kanaliki zbiorcze (nerka)
Pytanie 294
promień rdzeniowy Fereina (nerka)
Pytanie 295
labirynty (nerka)
Pytanie 296
torebka Bowmana (nerka)
Pytanie 297
biegun moczowy - można dostrzec kanalik (nerka)
Pytanie 298
biegun naczyniowy (nerka)
Pytanie 299
kanalik II rzędu - wyraźne światło z powodu braku rąbka szczoteczkowego (nerka)
Pytanie 300
kanalik I rzędu - zamglone światło z powodu obecności rąbka szczoteczkowego (nerka)