Pytania i odpowiedzi

Histologia - szkiełka ultimate

Zebrane pytania i odpowiedzi do zestawu. Przygotowanie do szkiełek rocznych pod koniec I roku histologii SUM - wszystkie szczegóły wszystkich preparatów. Test odpalamy w trybie „rozwiąż test” lub „fiszki”; rozwiązujemy go skrolując stronę do momentu ukazania się całego zdjęcia preparatu, później zastanawiamy się, jaki to jest szczegół oraz preparat (nazwy preparatów są podane w nawiasach), następnie skrolujemy odrobinę dalej aby ukazać odpowiedź, która umieszczona jest pod każdym obrazkiem.
Ilość pytań: 733 Rozwiązywany: 47186 razy
Pytanie 261
tkanka łączna (przysadka mózgowa - część gruczołowa, barwienie metodą Sliddersa)
Pytanie 262
zachyłek komory trzeciej (szyszynka)
Pytanie 263
nabłonek ependymalny - ependymocyty (szyszynka)
Pytanie 264
naczynie krwionośne (szyszynka)
Pytanie 265
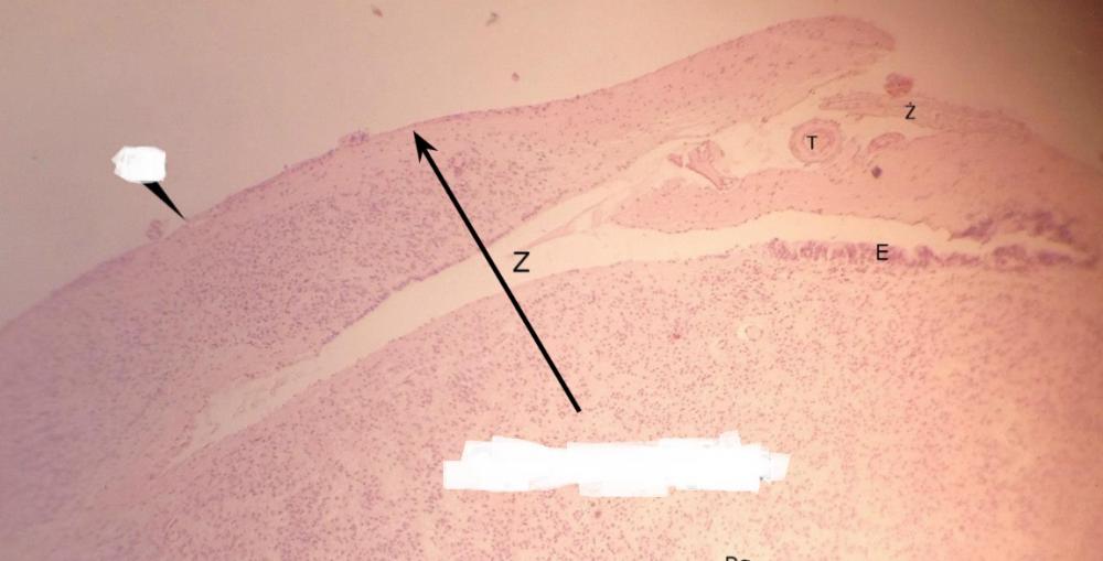
pinealocyty (szyszynka)
Pytanie 266
opona miękka (szyszynka)
Pytanie 267
pola glejowe - jasne ciapki z komórkami śródmiąższowymi glejowymi (szyszynka)
Pytanie 268
pinealocyty - skupiska (szyszynka)
Pytanie 269
pseudopęcherzyki, wysłane komórkami endokrynowymi (przytarczyce)
Pytanie 270
pasma tkanki łącznej (przytarczyce)
Pytanie 271
torebka łącznotkankowa (nadnercze)
Pytanie 272
warstwa kłębkowata kory (nadnercze)
Pytanie 273
warstwa pasmowata kory (nadnercze)
Pytanie 274
warstwa siatkowata kory (nadnercze)
Pytanie 275
naczynie zatokowe - małe, podłużne, białe pasmo (nadnercze)
Pytanie 276
żyła nadnerczowa (nadnercze)
Pytanie 277
rdzeń - z feochromocytami (nadnercze)
Pytanie 278
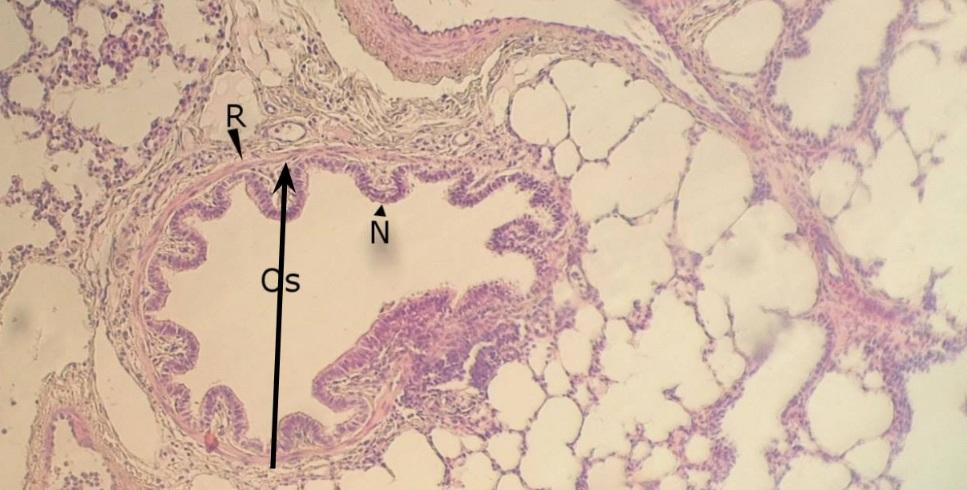
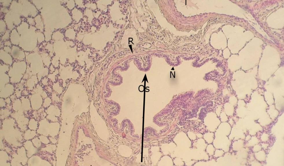
oskrzelik - mniejszy od oskrzela i bez tkanki chrzęstnej (płuco)
Pytanie 279
nabłonek wielorzędowy (płuco)
Pytanie 280
blaszka mięśniowa - błona Reissesena (płuco)