Pytania i odpowiedzi

Histologia - szkiełka ultimate

Zebrane pytania i odpowiedzi do zestawu. Przygotowanie do szkiełek rocznych pod koniec I roku histologii SUM - wszystkie szczegóły wszystkich preparatów. Test odpalamy w trybie „rozwiąż test” lub „fiszki”; rozwiązujemy go skrolując stronę do momentu ukazania się całego zdjęcia preparatu, później zastanawiamy się, jaki to jest szczegół oraz preparat (nazwy preparatów są podane w nawiasach), następnie skrolujemy odrobinę dalej aby ukazać odpowiedź, która umieszczona jest pod każdym obrazkiem.
Ilość pytań: 733 Rozwiązywany: 47186 razy
Pytanie 301
kielich mniejszy (nerka)
Pytanie 302
kłębuszek nerkowy (nerka, barwienie tuszem chińskim)
Pytanie 303
tętniczki doprowadzające i odprowadzające (nerka, barwienie tuszem chińskim)
Pytanie 304
naczynie odżywcze (nerka, barwienie tuszem chińskim)
Pytanie 305
naczynia międzypłacikowe (nerka, barwienie tuszem chińskim)
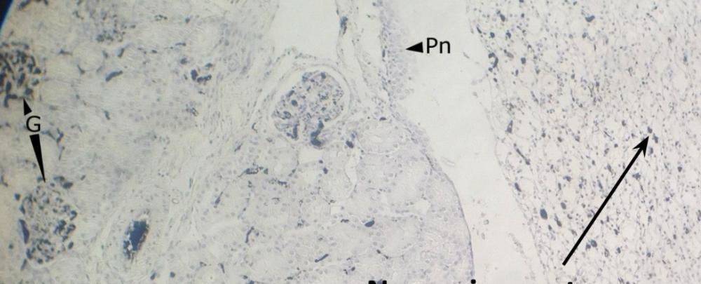
Pytanie 306
naczynie łukowate - tętnica (nerka, barwienie tuszem chińskim)
Pytanie 307
naczynia proste (nerka, barwienie tuszem chińskim)
Pytanie 308
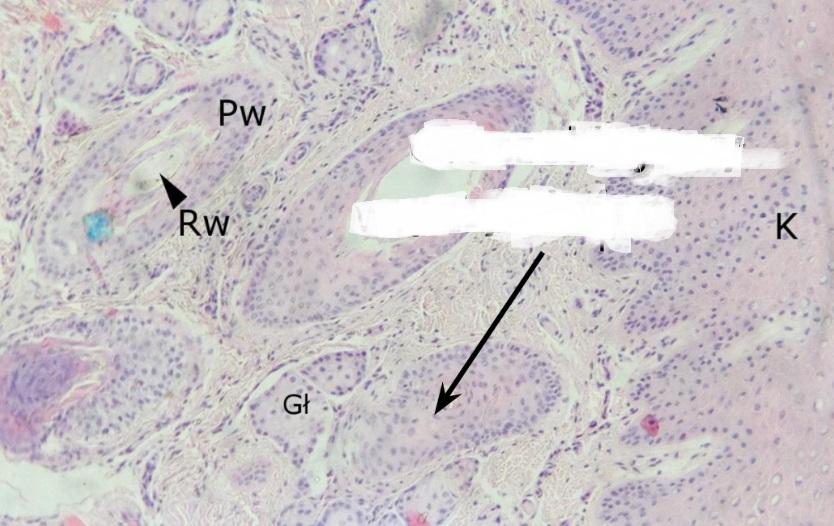
brodawka skórna (warga, czerwień wargowa)
Pytanie 309
skóra właściwa (warga, czerwień wargowa)
Pytanie 310
brodawka skórna (warga, część skórna)
Pytanie 311
rdzeń włosa (warga, część skórna)
Pytanie 312
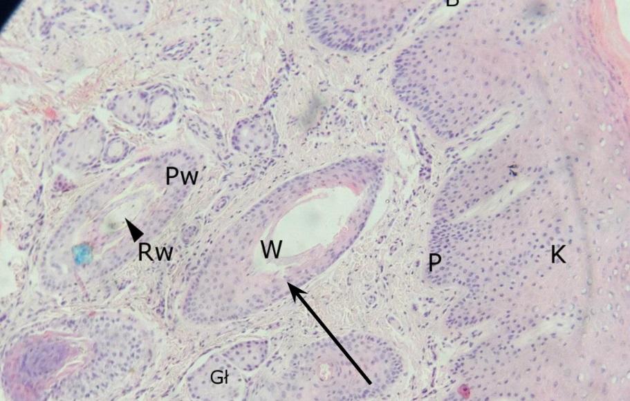
pochewka włosa (warga, część skórna)
Pytanie 313
gruczoł łojowy przywłośny (warga, część skórna)
Pytanie 314
kostnienie na podłożu łącznotkankowym (preparat rozwojowy z głowy szczura, okolice zęba)
Pytanie 315
mezenchymatyczna miazga zęba (preparat rozwojowy z głowy szczura, okolice zęba)
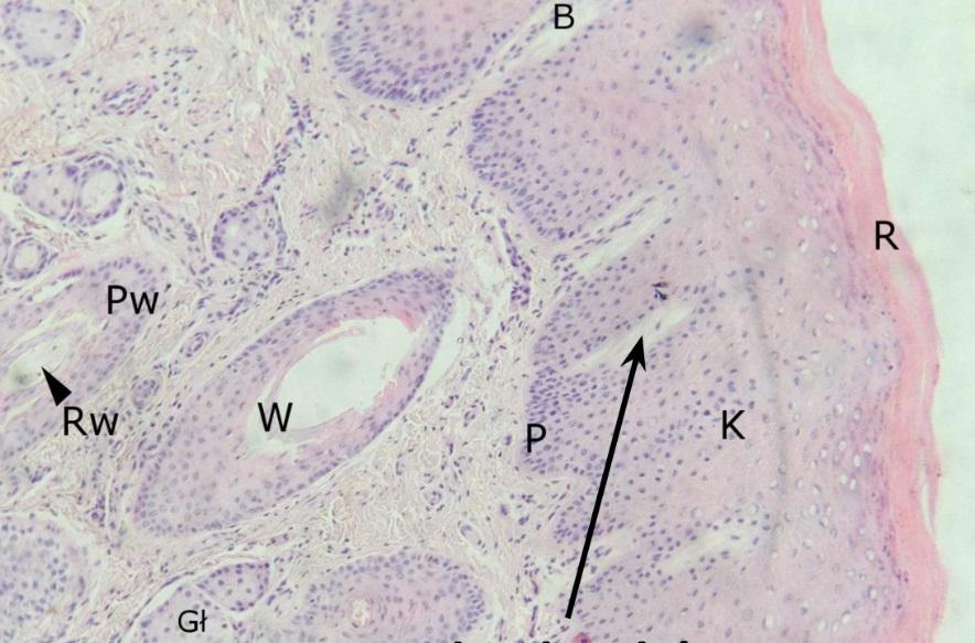
Pytanie 316
warstwy naskórka, od zewnątrz: rogowaciejąca, kolczysta i podstawna (warga, część skórna)
Pytanie 317
odontoblasty (preparat rozwojowy z głowy szczura, okolice zęba)
Pytanie 318
zębina (preparat rozwojowy z głowy szczura, okolice zęba)
Pytanie 319
narząd szkliwotwórczy: ameloblasty + szkliwo (preparat rozwojowy z głowy szczura, okolice zęba)
Pytanie 320
nabłonek wielowarstwowy płaski nierogowaciejący (preparat rozwojowy z głowy szczura, okolice języka)