Pytania i odpowiedzi

Histologia - szkiełka ultimate

Zebrane pytania i odpowiedzi do zestawu. Przygotowanie do szkiełek rocznych pod koniec I roku histologii SUM - wszystkie szczegóły wszystkich preparatów. Test odpalamy w trybie „rozwiąż test” lub „fiszki”; rozwiązujemy go skrolując stronę do momentu ukazania się całego zdjęcia preparatu, później zastanawiamy się, jaki to jest szczegół oraz preparat (nazwy preparatów są podane w nawiasach), następnie skrolujemy odrobinę dalej aby ukazać odpowiedź, która umieszczona jest pod każdym obrazkiem.
Ilość pytań: 733 Rozwiązywany: 47186 razy
Pytanie 161
neurony jądra (móżdżek)
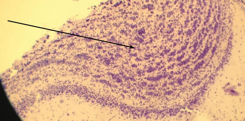
Pytanie 162
opona miękka (cytoarchitektura kory mózgu, barwienie fioletem krezylu Nissla)
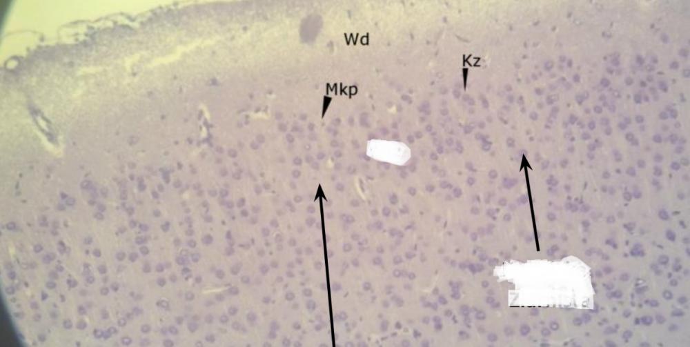
Pytanie 163
warstwa drobinowa (cytoarchitektura kory mózgu, barwienie fioletem krezylu Nissla)
Pytanie 164
warstwa ziarnista zewnętrzna oraz komórka ziarnista (cytoarchitektura kory mózgu, barwienie fioletem krezylu Nissla)
Pytanie 165
warstwa piramidalna zewnętrzna oraz komórka piramidalna (cytoarchitektura kory mózgu, barwienie fioletem krezylu Nissla)
Pytanie 166
warstwa ziarnista wewnętrzna (cytoarchitektura kory mózgu, barwienie fioletem krezylu Nissla)
Pytanie 167
warstwa piramidalna wewnętrzna (cytoarchitektura kory mózgu, barwienie fioletem krezylu Nissla)
Pytanie 168
warstwa komórek różnokształtnych (cytoarchitektura kory mózgu, barwienie fioletem krezylu Nissla)
Pytanie 169
istota biała (cytoarchitektura kory mózgu, barwienie fioletem krezylu Nissla)
Pytanie 170
róg Amona, zbudowany z komórek piramidalnych (cytoarchitektura kory mózgu, barwienie fioletem krezylu Nissla)
Pytanie 171
zakręt zębaty, zbudowany z komórek ziarnistych (cytoarchitektura kory mózgu, barwienie fioletem krezylu Nissla)
Pytanie 172
prążkowie (cytoarchitektura kory mózgu, barwienie fioletem krezylu Nissla)
Pytanie 173
opuszka węchowa (cytoarchitektura kory mózgu, barwienie fioletem krezylu Nissla)
Pytanie 174
komora boczna (cytoarchitektura kory mózgu, barwienie fioletem krezylu Nissla).jpg
Pytanie 175
komora czwarta (cytoarchitektura kory mózgu, barwienie fioletem krezylu Nissla)
Pytanie 176
nabłonek ependymalny (cytoarchitektura kory mózgu, barwienie fioletem krezylu Nissla)
Pytanie 177
splot naczyniówkowy (cytoarchitektura kory mózgu, barwienie fioletem krezylu Nissla)
Pytanie 178
więzadło ząbkowane (rdzeń kręgowy)
Pytanie 179
pajęczynówka (rdzeń kręgowy)
Pytanie 180
korzeń nerwu rdzeniowego (rdzeń kręgowy)