Pytania i odpowiedzi

Histologia - szkiełka ultimate

Zebrane pytania i odpowiedzi do zestawu. Przygotowanie do szkiełek rocznych pod koniec I roku histologii SUM - wszystkie szczegóły wszystkich preparatów. Test odpalamy w trybie „rozwiąż test” lub „fiszki”; rozwiązujemy go skrolując stronę do momentu ukazania się całego zdjęcia preparatu, później zastanawiamy się, jaki to jest szczegół oraz preparat (nazwy preparatów są podane w nawiasach), następnie skrolujemy odrobinę dalej aby ukazać odpowiedź, która umieszczona jest pod każdym obrazkiem.
Ilość pytań: 733 Rozwiązywany: 47185 razy
Pytanie 1
tętnica łukowata (nerka)
Pytanie 2
żyła łukowata (nerka)
Pytanie 3
pień nerwowy (oskrzela z przełykiem)
Pytanie 4
przydanka (oskrzela z przełykiem)
Pytanie 5
żyła (oskrzela z przełykiem)
Pytanie 6
zwój nerwowy - widoczne duże komórki zwojowe (oskrzela z przełykiem)
Pytanie 7
żyłka (oskrzela z przełykiem)
Pytanie 8
włókna elastynowe w błonie wewnętrznej i zewnętrznej tętnicy (płuco, barwienie fuksyną paraaldehydową)
Pytanie 9
oskrzelik (płuco, barwienie fuksyną paraaldehydową)
Pytanie 10
błona mięśniowa Reissesena (płuco, barwienie fuksyną paraaldehydową)
Pytanie 11
płytka chrząstki szklistej (płuco, barwienie fuksyną paraaldehydową)
Pytanie 12
pień nerwowy (płuco, barwienie fuksyną paraaldehydową)
Pytanie 13
żyła międzyzrazikowa (wątroba ludzka)
Pytanie 14
oskrzelik oddechowy (płuco, barwienie fuksyną paraaldehydową)
Pytanie 15
pęcherzyk płucny w ścianie oskrzelika oddechowego (płuco, barwienie fuksyną paraaldehydową)
Pytanie 16
żyła podzrazikowa - poznajemy ją po tym, że jest duża i samotna, brak towarzystwa tętnicy, czy przewodów żółciowych (wątroba ludzka)
Pytanie 17
mieszek włosa (powieka)
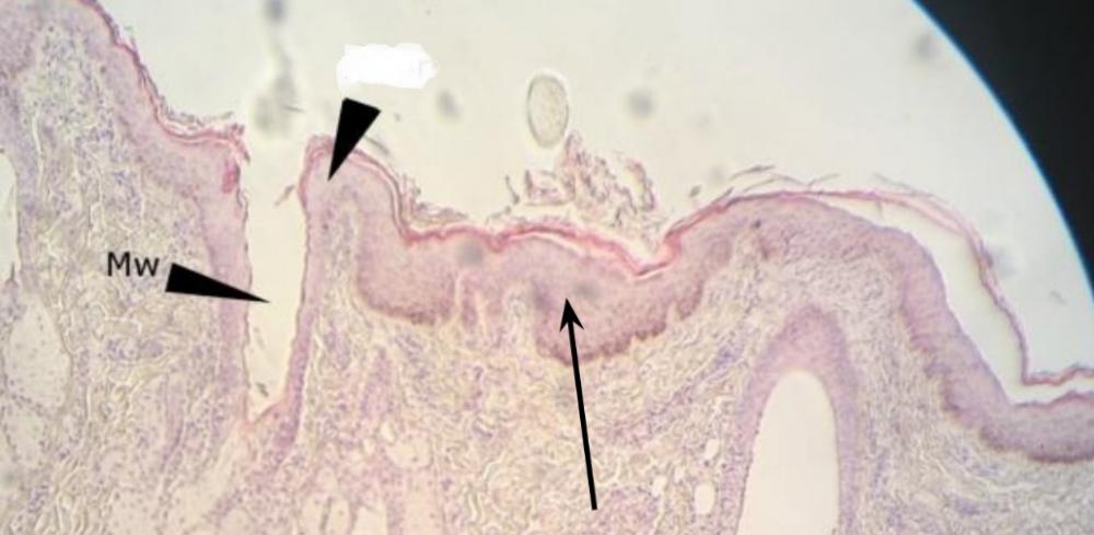
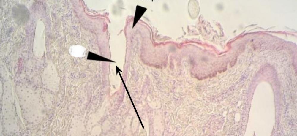
Pytanie 18
nabłonek wielowarstwowy płaski rogowaciejący (powieka)
Pytanie 19
przytarczyca (tarczyca)
Pytanie 20
nanerwie (pień nerwowy)